目次
- 1 出っ歯・ガタガタの歯並びをマウスピース矯正で改善した症例|永久歯非抜歯で治療したケース(亀岡市)
- 1.1 症例の概要|出っ歯・叢生をマウスピース矯正で改善
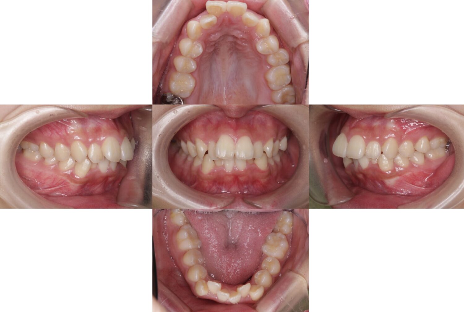
- 1.2 治療前の状態|前歯の突出感と全体的なガタつきがありました
- 1.3 診断と治療方針|永久歯は抜かず、過剰歯2本を抜歯して治療
- 1.4 マウスピース矯正で行ったこと|歯列全体を整え、前歯の突出感を改善
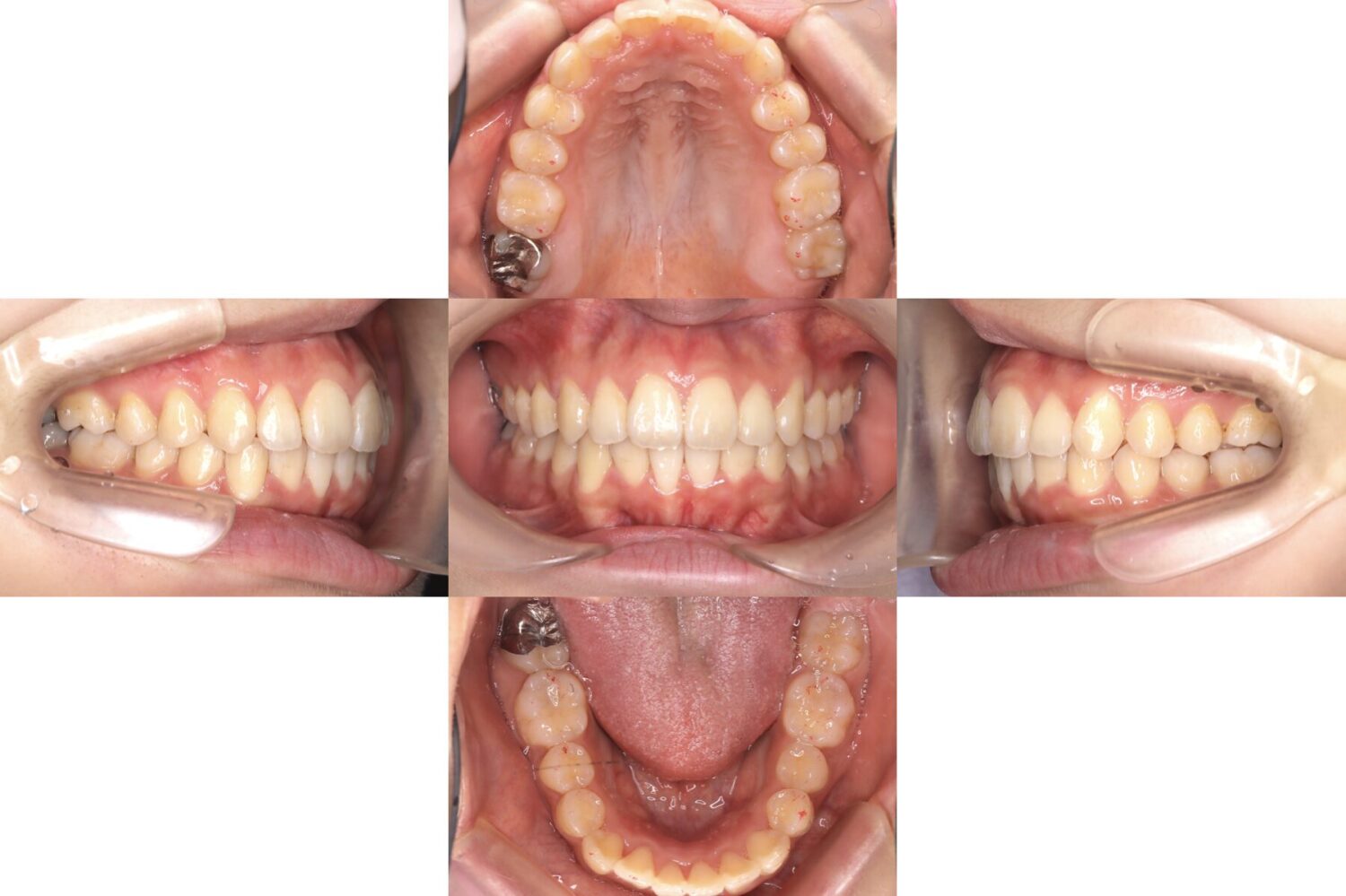
- 1.5 治療後の変化|歯並びと口元の印象が自然に整いました
- 1.6 治療前後の比較|歯列全体のバランスが改善
- 1.7 治療の詳細・費用・リスク
- 1.8 マウスピース矯正の特徴|見た目だけでなく清掃性の改善にもつながります
- 1.9 当院より|「抜かずに整える」ためにも、まずは正確な診断が大切です
- 1.10 はやかわ歯科 小児矯正歯科について
- 1.11 亀岡市・南丹市で出っ歯・ガタガタの歯並びをマウスピース矯正で相談したい方へ
- 2 著者情報
出っ歯・ガタガタの歯並びをマウスピース矯正で改善した症例|永久歯非抜歯で治療したケース(亀岡市)
こんにちは、亀岡市のはやかわ歯科 小児矯正歯科です。
今回は、前歯の突出感、口の閉じづらさ、全体的なガタつき(叢生)を気にされていた20代女性に対して、マウスピース矯正で歯並びを改善した症例をご紹介します。
患者様は「できれば歯は抜きたくない」というご希望がありました。診査・診断の結果、永久歯は抜かず、過剰歯2本のみ抜歯したうえで、インビザラインによるマウスピース矯正を行いました。
目立ちにくい矯正やマウスピース矯正をご希望の方は、
インビザラインのページをご覧ください。
歯並びの状態によって治療期間や費用、抜歯の必要性は異なるため、まずは診断が大切です。
症例の概要|出っ歯・叢生をマウスピース矯正で改善
患者様は20代女性の大学生で、「歯が出ていて口を閉じづらい」「全体的なガタつきが気になる」という主訴で来院されました。
就職活動までに歯並びを整えたいというご希望があり、見た目にも配慮しやすいマウスピース矯正を希望されました。
診査の結果、上下の前歯に突出感があり、歯列全体にもガタつきが見られました。
また、過剰歯が2本確認されたため、過剰歯のみ抜歯し、永久歯は抜かずに歯列を整える治療方針としました。
治療前の状態|前歯の突出感と全体的なガタつきがありました
治療前は、前歯が上下とも前方に突出しており、口元の閉じづらさにつながっていました。
また、2番目の歯が内側に引っ込み、3番目の歯が外側に飛び出している状態で、歯列に強いガタつきが見られました。
このような歯並びでは、見た目だけでなく、歯ブラシが届きにくい部分が増え、虫歯や歯肉炎のリスクが高くなることがあります。
そのため、見た目の改善だけでなく、清掃性や噛み合わせの改善も考えて治療を進めました。

診断と治療方針|永久歯は抜かず、過剰歯2本を抜歯して治療
患者様には「できれば歯を抜きたくない」というご希望がありました。
ただし、診査の結果、過剰歯が2本存在していたため、歯列を整えるうえで過剰歯の抜歯が必要と判断しました。
今回の治療では、通常の永久歯は抜歯せず、過剰歯2本のみ抜歯しています。
そのうえで、マウスピース矯正によって歯列全体をコントロールし、前歯の突出感とガタつきの改善を目指しました。
「非抜歯矯正」といっても、症例によって意味が異なります。
今回は、歯並びを作るうえで必要な永久歯は抜かず、余分に存在していた過剰歯のみを抜歯したケースです。
マウスピース矯正で行ったこと|歯列全体を整え、前歯の突出感を改善
マウスピース矯正では、透明な装置を段階的に交換しながら歯を動かしていきます。
今回は、歯列全体の幅や前後的なバランスを確認しながら、ガタつきと突出感を改善していきました。
治療で目指したポイント
- 前歯の突出感を改善する
- 全体的なガタつきを整える
- 歯磨きしやすい歯列に近づける
- 口元の閉じづらさを改善する
- 噛み合わせのバランスを整える
- 就職活動前に見た目の印象を整える
マウスピース矯正は取り外しができる一方で、装着時間を守ることが治療結果に大きく影響します。
患者様にも装着時間を守っていただきながら、定期的に歯の動きや噛み合わせを確認して治療を進めました。
治療後の変化|歯並びと口元の印象が自然に整いました
治療後は、全体的な歯列のガタつきが改善され、前歯の突出感も大きく軽減しました。
歯が整ったことで、歯磨きもしやすくなり、虫歯や歯肉炎の予防にもつながりやすい状態になっています。
また、口元の印象も自然で柔らかくなり、笑顔にも自信を持っていただきやすい仕上がりとなりました。

治療前後の比較|歯列全体のバランスが改善
治療前後を比較すると、前歯の突出感、歯列のガタつき、歯の並びのバランスが改善していることが分かります。
歯並びが整うことで、見た目だけでなく、歯磨きのしやすさや噛み合わせの安定にもつながります。

目立ちにくい矯正やマウスピース矯正をご希望の方は、 インビザラインのページ もあわせてご覧ください。
治療の詳細・費用・リスク
| 患者様の年齢・性別 | 20代・女性(大学生) |
|---|---|
| 主訴 | 前歯の突出感、口の閉じづらさ、全体的なガタつき、噛み合わせ不良 |
| 診断 | 上下前歯部の突出感を伴う叢生、過剰歯 |
| 治療内容 | マウスピース矯正(インビザライン)、過剰歯2本抜歯、永久歯非抜歯 |
| 治療期間 | 約2年 |
| 治療費用 | 約85万円(税込) |
| リスク・副作用 |
・マウスピースの装着時間を守れない場合、治療期間が延長することがあります。 ・歯の動きには個人差があり、計画通りに進まない場合があります。 ・治療中に痛み、違和感、発音しづらさを感じることがあります。 ・歯根吸収、歯肉退縮、虫歯、歯肉炎が起こる可能性があります。 ・治療後は後戻り防止のため、保定装置の使用が必要です。 ・マウスピース矯正は保険適用外の自由診療です。 |
マウスピース矯正の特徴|見た目だけでなく清掃性の改善にもつながります
マウスピース矯正は、透明な装置を使用するため、従来のワイヤー矯正に比べて目立ちにくいことが特徴です。
また、食事や歯みがきの際に取り外しができるため、日常生活に取り入れやすい矯正方法です。
ただし、マウスピース矯正はすべての症例に適応できるわけではありません。
歯並びの状態、噛み合わせ、骨格、歯の大きさ、抜歯の必要性などを診断したうえで、適応を判断する必要があります。
マウスピース矯正で期待できること
- 目立ちにくく矯正治療を進めやすい
- 取り外しができ、歯みがきしやすい
- 歯並びが整うことで清掃性が改善しやすい
- 口元の印象が整いやすい
- 症例によっては永久歯を抜かずに治療できる可能性がある
目立ちにくい矯正やマウスピース矯正をご希望の方は、
インビザラインのページ
をご覧ください。
お子さまの歯並び、口呼吸、舌の位置、噛み合わせが気になる方は、
小児矯正のページ
もあわせてご覧ください。
当院より|「抜かずに整える」ためにも、まずは正確な診断が大切です
今回の症例では、患者様の「できれば歯は抜きたくない」というご希望をふまえ、永久歯を抜かずに、過剰歯2本のみ抜歯してマウスピース矯正を行いました。
その結果、前歯の突出感と全体的なガタつきが改善し、清掃性や口元の印象も整いました。
ただし、すべての方が非抜歯で治療できるわけではありません。
出っ歯や叢生の程度、歯の大きさ、あごの幅、噛み合わせ、口元のバランスによって、適切な治療方針は異なります。
「歯を抜かずに矯正できる?」「マウスピース矯正で治せる?」「就職活動や結婚式までに歯並びを整えたい」など、気になることがあればお気軽にご相談ください。
はやかわ歯科 小児矯正歯科について
はやかわ歯科 小児矯正歯科は、京都府亀岡市古世町にある歯科医院です。 小児矯正・ マウスピース矯正・ インプラント・ 親知らずの抜歯・ 歯周病治療・ 予防メンテナンスまで、幅広いお口のお悩みに対応しています。
お子さまの歯並びや口呼吸、成人の矯正相談、入れ歯が合わない方のインプラント相談など、将来を見据えた治療計画をご提案します。
亀岡市・南丹市で出っ歯・ガタガタの歯並びをマウスピース矯正で相談したい方へ
はやかわ歯科 小児矯正歯科では、歯並び・噛み合わせ・口元のバランスを確認したうえで、マウスピース矯正が適応できるかを診断します。
「出っ歯を治したい」「歯を抜かずに矯正できるか知りたい」「インビザラインが自分に合うか相談したい」という方は、お気軽にご相談ください。
〒621-0815 京都府亀岡市古世町芝原35-5|駐車場10台完備
関連ページ: マウスピース矯正・インビザライン / 小児矯正 / 歯周病治療
ご相談・WEB予約はこちら著者情報
院長 早川 倫正

- 関西大倉高等学校 卒業
- 大阪歯科大学 歯学部 卒業
- 公立甲賀病院 歯科口腔外科 勤務
- 医療法人 スマイルデザイン 吉田歯科・矯正歯科 入職
- 医療法人 スマイルデザイン 吉田歯科・矯正歯科 副院長就任
- 医療法人 スマイルデザイン 吉田歯科・矯正歯科 院長就任
- はやかわ歯科小児矯正歯科 開院


