目次
奥歯で食事がしづらい方へのインプラント治療|亀岡市で噛む機能を回復した症例
こんにちは、亀岡市のはやかわ歯科 小児矯正歯科です。
今回は、他院で奥歯を抜歯した後、「左下の奥歯で噛めない」「食事がしづらい」とお悩みになり、インプラント治療を希望して当院へご相談された症例をご紹介します。
奥歯は食事の中心となる大切な歯です。失ったまま時間が経つと、噛みにくさだけでなく、周囲の歯への負担や噛み合わせの乱れにつながることがあります。
今回は、食事のしづらさを改善し、将来を見据えてしっかり噛める状態を目指すために、インプラント治療を行いました。
入れ歯が痛い、噛みにくい、奥歯を失ってそのままになっている方は、
インプラント治療のページもあわせてご覧ください。
亀岡市・南丹市周辺でインプラント治療をご検討の方は、はやかわ歯科 小児矯正歯科までお気軽にご相談ください。
症例の概要|左下の奥歯で噛めないことが主なお悩みでした
患者様は、「左下の奥歯で噛めない」「食事がしづらい」というお悩みで来院されました。
他院で左下の奥歯を抜歯された後、欠損部をそのままにしていたことで、食事の際に噛みにくさを感じておられました。
診査の結果、左下大臼歯部の欠損があり、時間の経過により欠損部周囲の骨吸収もみられる状態でした。
患者様は、取り外し式の入れ歯ではなく、固定式でしっかり噛める治療を希望され、相談のうえでインプラント治療を行うことになりました。
治療前の状態|左下の奥歯が欠損し、食事がしづらい状態でした
初診時の写真
左下の奥歯が欠損しており、奥歯でしっかり噛みにくい状態でした。
奥歯を失ったまま時間が経つと、隣の歯が傾いたり、噛み合う歯が伸びてきたりすることがあり、噛み合わせ全体に影響する場合があります。

▲ 治療前:左下奥歯の欠損部の状態
術前レントゲン写真
レントゲンで欠損部の骨の状態や、周囲の歯への影響を確認しました。
インプラント治療では、見た目だけでなく、骨の量・骨の形・噛み合わせ・清掃性を確認したうえで治療計画を立てることが大切です。

▲ 術前レントゲン写真
治療の流れ|インプラント埋入から最終補綴まで
1)インプラント埋入手術
欠損部の骨の状態を確認したうえで、適切な位置・角度・深さを考慮してインプラントを埋入しました。
奥歯は噛む力が強くかかる部位のため、将来的に安定して噛めるよう、インプラントの方向性や補綴物の設計を慎重に考える必要があります。

▲ インプラント埋入直後
2)治癒期間|骨とインプラントの結合を待ちます
インプラント埋入後は、骨とインプラントが結合するまで治癒期間を設けます。
この期間は、無理な力がかからないように注意しながら、歯ぐきや周囲組織の回復を確認します。

▲ 治癒期間:骨との結合を待っている状態
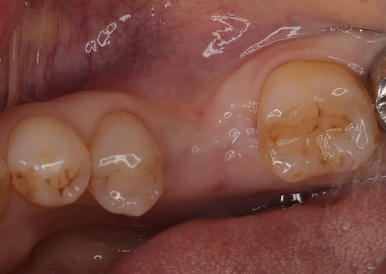
3)最終補綴物の装着
インプラントと骨の結合を確認した後、セラミックの被せ物を装着しました。
周囲の歯とのバランスや噛み合わせを確認し、奥歯で噛みやすい状態を目指しました。

▲ 最終補綴物セット後
術前後の比較|奥歯で噛める状態を目指しました
治療前は左下の奥歯が欠損しており、食事の際に噛みにくさがありました。
インプラント治療により、固定式の歯を装着し、奥歯で噛みやすい状態を目指しました。

▲ 治療前後の比較
治療の詳細
| 患者様の年齢・性別 | 70代・女性 |
|---|---|
| 主訴 | 左下の奥歯で噛めない・インプラント治療を希望 |
| 診断 | 左下大臼歯欠損・軽度骨吸収 |
| 治療内容 | インプラント埋入、セラミック補綴 |
| 治療期間 | 約3か月 |
| 治療費用 | 約45万円(税別) |
リスク・副作用
- インプラント治療は外科処置を伴うため、術後に腫れ・痛み・出血・内出血が出ることがあります。
- 骨の状態や全身状態により、治癒期間が延長することがあります。
- 骨量が不足している場合、骨造成など追加処置が必要になることがあります。
- インプラント周囲炎のリスクがあるため、治療後の定期メンテナンスが必要です。
- 噛む力が強い場合、補綴物の欠け・緩み・破損が起こることがあります。
- 治療結果には個人差があり、すべての方に同じ結果を保証するものではありません。
インプラントを長く安定させるためには、治療後のメンテナンスがとても大切です。
歯ぐきの腫れ、出血、口臭、歯のぐらつきが気になる方は、
歯周病治療のページもあわせてご覧ください。
当院より|奥歯を失った後の治療は、噛み合わせ全体を考えることが大切です
奥歯は、食事のしやすさだけでなく、噛み合わせ全体を支える重要な役割があります。
奥歯を失ったままにしていると、片側ばかりで噛むようになったり、周囲の歯に負担がかかったりすることがあります。
今回の症例では、骨の状態や噛み合わせを確認したうえで、インプラント治療を行いました。
インプラントは、固定式で噛みやすさを回復しやすい治療方法ですが、誰にでも必ず適応できるわけではありません。
骨の量、全身状態、清掃状態、噛む力、メンテナンスへの通院状況などを確認したうえで、治療方針を決めることが大切です。
「奥歯がなくて片側ばかりで噛んでいる」「入れ歯が痛い」「食事がしづらい」という方は、 インプラント治療のページをご覧ください。
はやかわ歯科 小児矯正歯科について
はやかわ歯科 小児矯正歯科は、京都府亀岡市古世町にある歯科医院です。 小児矯正・ マウスピース矯正・ インプラント・ 親知らずの抜歯・ 歯周病治療・ 予防メンテナンスまで、幅広いお口のお悩みに対応しています。
お子さまの歯並びや口呼吸、成人の矯正相談、入れ歯が合わない方のインプラント相談など、将来を見据えた治療計画をご提案します。
亀岡市・南丹市で奥歯がなく食事がしづらい方へ
奥歯を失ったままにしていると、食事のしづらさだけでなく、周囲の歯や噛み合わせにも影響することがあります。
「入れ歯が合わない」「奥歯で噛めない」「固定式の治療を検討したい」という方は、まずは一度ご相談ください。
骨の状態や噛み合わせを確認し、インプラントを含めた治療方法を一緒に考えます。
〒621-0815 京都府亀岡市古世町芝原35-5|駐車場10台完備
関連ページ: インプラント治療 / 歯周病治療 / 親知らずの抜歯
ご相談・WEB予約はこちら著者情報
院長 早川 倫正

- 関西大倉高等学校 卒業
- 大阪歯科大学 歯学部 卒業
- 公立甲賀病院 歯科口腔外科 勤務
- 医療法人 スマイルデザイン 吉田歯科・矯正歯科 入職
- 医療法人 スマイルデザイン 吉田歯科・矯正歯科 副院長就任
- 医療法人 スマイルデザイン 吉田歯科・矯正歯科 院長就任
- はやかわ歯科小児矯正歯科 開院


