目次
- 1 骨が少ないと言われた方へ|上顎奥歯をソケットリフト併用インプラントで改善した症例(亀岡市)
- 1.1 症例の概要|上顎奥歯の骨量不足に対してソケットリフトを併用したケース
- 1.2 来院の経緯|京都市内への通院負担が大きく、当院へご相談されました
- 1.3 初診時の評価|右上奥歯の欠損と上顎洞までの距離を確認
- 1.4 治療方針|ソケットリフトを併用し、固定式で噛める状態を目指しました
- 1.5 治療の流れ|ソケットリフト併用埋入からセラミッククラウン装着まで
- 1.6 術前後の比較|欠損部に固定式の歯が入り、噛みやすい状態へ
- 1.7 治療の詳細・費用・リスク
- 1.8 骨が少ない上顎奥歯でソケットリフトが選択肢になる理由
- 1.9 治療後に大切なメンテナンス|長く使うために必要です
- 1.10 当院より|骨が少ないと言われた場合も、まずは一度ご相談ください
- 1.11 はやかわ歯科 小児矯正歯科について
- 1.12 亀岡市・南丹市で骨が少ないと言われた方へ|上顎奥歯のインプラント相談
- 2 著者情報
骨が少ないと言われた方へ|上顎奥歯をソケットリフト併用インプラントで改善した症例(亀岡市)
こんにちは、亀岡市のはやかわ歯科 小児矯正歯科です。
「インプラントを希望したけれど、骨が少なくて難しいと言われた」「上の奥歯を抜歯した後、しっかり噛めないままになっている」という方もいらっしゃるのではないでしょうか。
今回は、上顎の奥歯を抜歯後、一定期間の治癒を経て「もう一度しっかり噛みたい」と来院された症例をご紹介します。
骨量が不足している部位に対して、ソケットリフト(上顎洞底挙上術)を併用し、機能回復と長期安定を目指して治療を行いました。
上顎の奥歯で噛みにくい、抜歯後そのままになっている、骨が少ないと言われた方は、
インプラント治療のページもあわせてご覧ください。
当院ではCT検査をもとに、骨の状態・上顎洞との距離・噛み合わせを確認したうえで治療計画をご提案します。
目次
症例の概要|上顎奥歯の骨量不足に対してソケットリフトを併用したケース
患者様は70代男性で、約1年前に上顎の奥歯を抜歯されていました。
前医では「治癒を待ってからインプラント治療を検討する」と説明を受けておられ、抜歯後の治癒期間を経て治療再開を希望されました。
しかし、上顎奥歯の部位は上顎洞(副鼻腔)に近く、残っている骨の高さが不足しやすい部位です。
本症例でも、通常の埋入だけでは十分な骨量を確保しにくい状態であったため、骨条件に合わせた術式選択が必要でした。
来院の経緯|京都市内への通院負担が大きく、当院へご相談されました
患者様は、抜歯後1年が経過したタイミングで「そろそろしっかり噛めるように治したい」と考えられていました。
一方で、治療のために京都市内まで通院することは負担が大きく、通いやすい歯科医院で相談したいとのことで当院へ来院されました。
インプラント治療は、手術だけでなく、診断・治癒期間中の確認・補綴装着・治療後のメンテナンスまで継続的な通院が必要です。
そのため、無理なく通える距離で治療とメンテナンスを続けられることも、長期安定には大切です。
「骨が少ないと言われた」「上顎洞に近くて難しいと言われた」という場合でも、すぐに治療をあきらめる必要はありません。
CTで骨の高さ・幅・上顎洞との距離を確認し、ソケットリフトなどの骨造成を併用することで治療の選択肢が広がる場合があります。
初診時の評価|右上奥歯の欠損と上顎洞までの距離を確認
欠損部位は右上の奥歯でした。
上顎の奥歯は、歯を失ったあとに骨が吸収しやすく、さらに上顎洞が近いため、インプラント埋入に必要な骨量が不足しやすい部位です。
初診時には、欠損部の歯ぐきの状態、対合歯との噛み合わせ、隣の歯への負担、清掃状態を確認しました。
また、レントゲン・CT評価により、上顎洞底までの距離・残存骨量・埋入可能な位置を慎重に確認しました。
初診時の口腔内写真(治療前)
上顎臼歯部の欠損により、咀嚼効率の低下がみられました。
欠損を放置すると、対合歯や隣在歯への負担増加、噛み合わせのバランスの乱れが懸念されます。

術前レントゲン・CT評価
右上欠損部では、上顎洞底までの距離が短く、埋入に必要な垂直的骨量が限られていました。
安全性と長期安定性を確保するため、骨条件に合わせた術式選択が必要と判断しました。

治療方針|ソケットリフトを併用し、固定式で噛める状態を目指しました
右上の欠損に対して、インプラント治療を計画しました。
ただし、上顎洞までの距離が近く、骨量が不足していたため、ソケットリフト(上顎洞底挙上術)を併用する方針としました。
ソケットリフトは、上顎洞の底部を慎重に持ち上げ、インプラントを支えるための骨高径を確保する処置です。
骨の状態を確認しながら、適切な埋入ポジションを設定して治療を進めました。
治療で重視したポイント
- 右上奥歯でしっかり噛める状態を回復する
- 上顎洞との距離を確認し、安全性に配慮する
- 骨量不足に対してソケットリフトを適切に併用する
- 噛み合わせの負担が集中しない補綴設計を行う
- 清掃しやすく、メンテナンスしやすい形態を目指す
治療の流れ|ソケットリフト併用埋入からセラミッククラウン装着まで
① インプラント埋入手術(右上はソケットリフト併用)
術前シミュレーションに基づき、埋入角度・深度・補綴スペースを考慮して手術を実施しました。
右上ではソケットリフトを併用し、上顎洞側へ必要な骨高径を確保したうえで埋入を行っています。
上顎奥歯は噛む力がかかりやすく、さらに骨条件の影響を受けやすい部位です。
そのため、インプラントの位置・方向性・深さを慎重に調整することが重要です。

② 治癒期間|骨結合の安定化を待ちます
埋入後は、インプラント体と骨が結合するまでの期間を確保しました。
この期間中は、痛みや腫れの状態、軟組織の治癒、噛み合わせの負担が偏っていないかを確認しながら経過を見ます。
骨の状態や治癒の進み方には個人差があるため、最終補綴へ進む時期は状態を確認しながら調整しています。
③ 最終補綴|セラミッククラウンを装着
骨結合の安定を確認した後、最終的にセラミッククラウンを装着しました。
噛む機能と自然な見た目を回復し、清掃性にも配慮した形態にしています。
治療後も、長く良い状態を保つためには、噛み合わせの確認と定期メンテナンスが重要です。

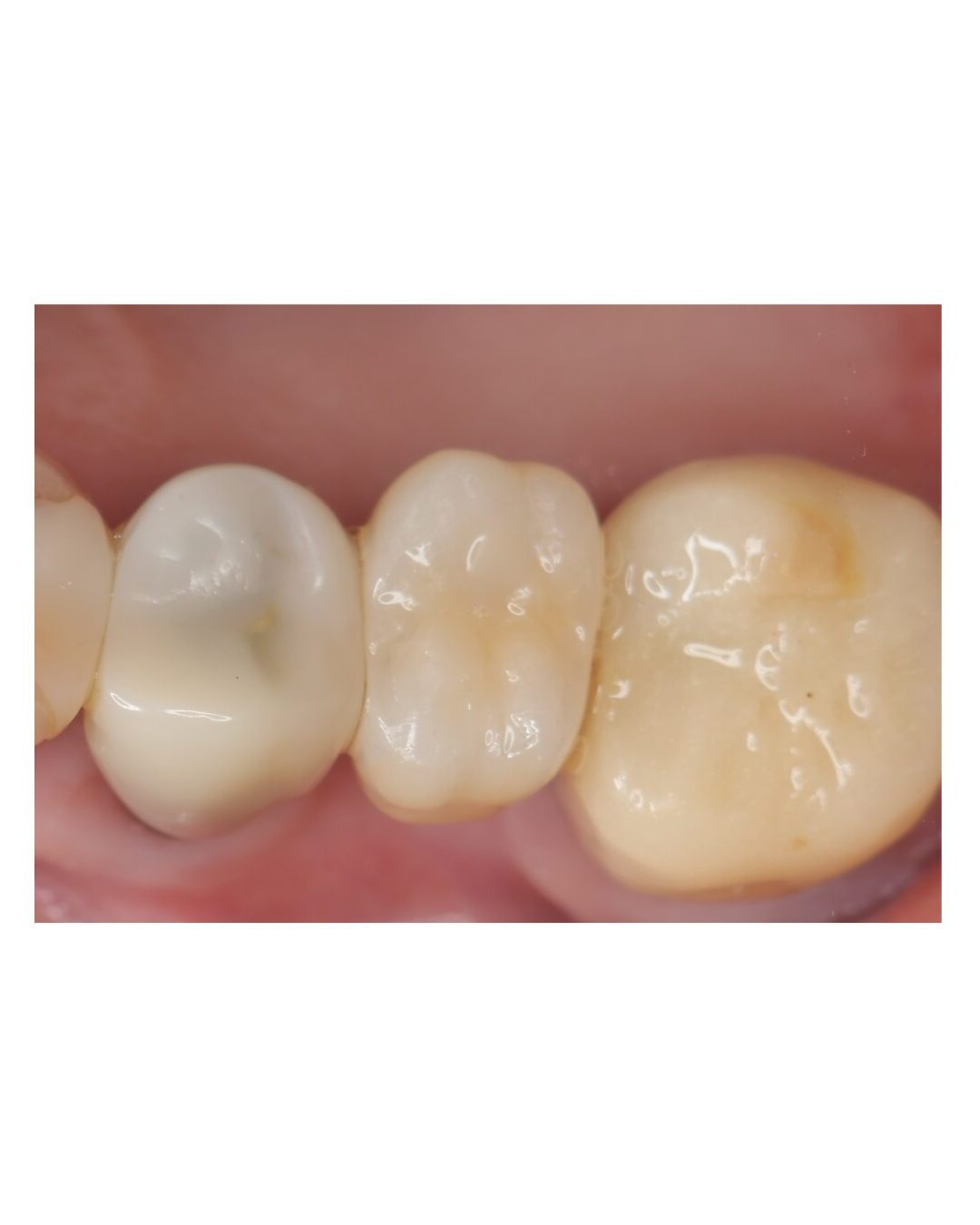
術前後の比較|欠損部に固定式の歯が入り、噛みやすい状態へ
治療前は上顎奥歯が欠損しており、咀嚼効率の低下や噛み合わせの偏りが懸念される状態でした。
治療後は固定式の被せ物が入り、奥歯で噛む機能の回復を目指せる状態になりました。

治療の詳細・費用・リスク
| 年齢・性別 | 70代・男性 |
|---|---|
| 主訴 | 上顎奥歯で噛みにくい/インプラントで治したい |
| 来院理由 | 抜歯後1年経過し治療希望。京都市内までの通院が遠方のため当院を受診 |
| 診断 | 右上大臼歯欠損、上顎洞近接を伴う骨量不足 |
| 治療内容 | 上顎臼歯部インプラント埋入、ソケットリフト併用、セラミッククラウンによる補綴 |
| 治療期間 | 約3〜5ヶ月 ※骨結合の経過により変動します |
| 治療費用 | 1本 約50万円(税別)※部位・本数・骨造成の有無により変動します |
| リスク・副作用 |
・術後の腫れ、痛み、内出血が生じることがあります。 ・上顎洞に近接する部位では、解剖学的条件に応じた追加処置が必要になる場合があります。 ・骨の状態によっては、治癒期間の延長や追加処置が必要になる場合があります。 ・清掃不良、喫煙、過度な咬合負荷などにより、インプラント周囲炎のリスクがあります。 ・長期安定のため、定期的なメンテナンスと咬合管理が必要です。 ・インプラント治療および骨造成処置は保険適用外の自由診療です。 |
骨が少ない上顎奥歯でソケットリフトが選択肢になる理由
上顎の奥歯は、抜歯後に骨が吸収しやすく、さらに上顎洞が近いため、インプラントを支える骨の高さが不足しやすい部位です。
骨の高さが不足している状態で無理に埋入すると、初期固定が得にくかったり、上顎洞との位置関係に注意が必要になったりします。
ソケットリフトは、上顎洞底を慎重に持ち上げ、骨補填材などを用いてインプラントを支えるスペースを確保する方法です。
骨量不足があるケースでも、条件が合えば固定式の歯で噛める状態を目指せる可能性があります。
ソケットリフトが検討されやすいケース
- 上顎奥歯の骨が少ないと言われた
- 抜歯後、時間が経って骨が痩せている
- 上顎洞までの距離が近い
- 入れ歯ではなく固定式で噛みたい
- 奥歯の欠損を放置している
- 遠方通院が負担で、近くで継続的に相談したい
ただし、ソケットリフトはすべての方に適応できるわけではありません。
骨の量、上顎洞の状態、全身状態、喫煙習慣、歯周病の有無、噛み合わせなどを総合的に確認する必要があります。
治療後に大切なメンテナンス|長く使うために必要です
インプラントは虫歯にはなりませんが、インプラント周囲炎という歯周病に似たトラブルが起こることがあります。
周囲に汚れがたまり、炎症が進むと、支えている骨に影響することがあります。
そのため、治療後は定期的に噛み合わせや清掃状態を確認し、必要に応じて専門的なクリーニングを行うことが大切です。
治療後に確認するポイント
- インプラント周囲の歯ぐきに炎症がないか
- 被せ物の周囲に汚れが残っていないか
- 噛み合わせの力が強くかかりすぎていないか
- 隣の歯や反対側の歯に負担が出ていないか
- 歯ブラシ・歯間ブラシが適切に使えているか
歯ぐきの腫れ、出血、口臭、歯のぐらつきが気になる方は、 歯周病治療のページ もあわせてご覧ください。
当院より|骨が少ないと言われた場合も、まずは一度ご相談ください
上顎の奥歯が欠損した状態を放置すると、咀嚼効率の低下だけでなく、他の歯への過負荷や噛み合わせのバランスの乱れにつながることがあります。
また、抜歯後の期間が長くなるほど骨が痩せ、治療の選択肢が限られる場合もあります。
本症例では、右上の骨量不足に対してソケットリフトを併用し、欠損部を機能的に回復しました。
その結果、しっかり噛める感覚の改善、清掃性の確保、長期安定を見据えた補綴設計を目指すことができました。
「骨が少ないと言われた」「抜歯後そのままになっている」「遠方通院が負担で治療をためらっている」という方も、解決できる方法があるかもしれません。
まずは骨の状態や噛み合わせを確認したうえで、インプラント・入れ歯・ブリッジなど、患者様に合った選択肢を一緒に考えていきます。
はやかわ歯科 小児矯正歯科について
はやかわ歯科 小児矯正歯科は、京都府亀岡市古世町にある歯科医院です。 小児矯正・ マウスピース矯正・ インプラント・ 親知らずの抜歯・ 歯周病治療・ 予防メンテナンスまで、幅広いお口のお悩みに対応しています。
お子さまの歯並びや口呼吸、成人の矯正相談、入れ歯が合わない方のインプラント相談など、将来を見据えた治療計画をご提案します。
亀岡市・南丹市で骨が少ないと言われた方へ|上顎奥歯のインプラント相談
はやかわ歯科 小児矯正歯科では、CT検査やレントゲンをもとに、骨の状態・上顎洞との距離・噛み合わせを確認し、治療が可能かどうかを診断します。
「これって治療できるの?」「他院で難しいと言われた」「上顎の奥歯で噛めない」という方も、お気軽にご相談ください。
〒621-0815 京都府亀岡市古世町芝原35-5|駐車場11台完備
関連ページ: インプラント治療 / 歯周病治療 / 親知らずの抜歯
ご相談・WEB予約はこちら著者情報
院長 早川 倫正

- 関西大倉高等学校 卒業
- 大阪歯科大学 歯学部 卒業
- 公立甲賀病院 歯科口腔外科 勤務
- 医療法人 スマイルデザイン 吉田歯科・矯正歯科 入職
- 医療法人 スマイルデザイン 吉田歯科・矯正歯科 副院長就任
- 医療法人 スマイルデザイン 吉田歯科・矯正歯科 院長就任
- はやかわ歯科小児矯正歯科 開院



