instagram
doctor
むし歯に「させない」治療を目指して

子を持つ親として、
歯科医師として未来を見据えた
治療を提供します

doctor

幼少期から培ってきた健康への意識、外科医である父の影響、そして自身の歯科医師としての経験を基に、ただ「治す」のではなく、「なぜ虫歯になるのか?」という根本原因の解決にこだわった治療を提供しています。
特に、お子様の成長期における矯正治療の重要性を深く理解し、鼻呼吸や免疫力向上にも繋がる、より健康的な未来をサポートいたします。 丁寧な説明と安心できる治療で、患者様とじっくり向き合い、笑顔あふれる健やかなお口元を実現いたします。

kid
kid

※インビザラインマウスピース矯正での症例です

3〜5歳

プレオルソ
ムーシールド

顎の成長を活かし、正しい
噛み合わせと歯並びへ

  • おくちポカンの改善に
  • 口呼吸から鼻呼吸へ
  • 正しい嚥下や発音のサポート
詳しくはこちら
5〜9歳

マイオブレース

習慣を改善しながら歯並びを
整えるトレーニング型矯正

  • 口周りの筋肉のバランスを整える
  • 舌の正しい位置を習得
  • 歯並びを悪くする口呼吸・指しゃぶりを改善
詳しくはこちら
8〜11歳

インビザライン
ファースト

痛みの少ない透明マウスピースで
成長期に合わせた矯正を

  • 目立ちにくく快適な矯正治療
  • 顎の成長を利用しながら歯並びを整える
  • 食事や歯磨きも普段通りできる
詳しくはこちら
12〜15歳

インビザライン
ティーン

学校生活も快適に
目立たない矯正で自然な笑顔へ

  • スポーツや楽器演奏も影響なし
  • 歯の生え変わりに対応
  • 食事や歯磨きも普段通りできる
詳しくはこちら
インプラントは痛い,長期間かかると
お考えではありませんか?
implant
当院では、最新の技術とノウハウを用いた、
痛みの少ないインプラント治療を提供しております。
丁寧なカウンセリングと精密な手術で、
短期間での治療を目指します。

幅広いニーズに対応する

充実の診療メニュー

子どもの診療

children

虫歯がないか
早めにチェックしてほしい

子どもの歯の検診
children

虫歯ができてしまったけど
治療が怖くて嫌がる

子どもの虫歯の検診

大人の診療

銀歯が気になって
自然な白い歯にしたい

セラミック
治療

親知らずが痛い
腫れている

親知らずの
抜歯

歯ぐきが腫れて
血が出る,痛みがある

歯周病
治療

歯がズキズキ痛む、
冷たいものがしみる

根管治療

今の入れ歯が
合わなくて痛い,不満

義歯
(入れ歯)

症例紹介

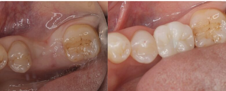
インプラント 症例

【インプラント症例】「入れ歯が痛い」「噛めない」を改善|亀岡市

入れ歯が痛くて使えない方へ|奥歯をインプラントで改善した症例(亀岡市) こんにちは、亀岡市のはやかわ歯科 小児矯正歯科です。 今回は、以前作った入れ歯が痛くて使えず、奥歯の欠損をそのままにしていた方が、「しっかり噛めるように治したい」とご相談に来られた症例をご紹介します。 入れ歯が合わない、痛い、噛みにくいという理由で欠損を放置してしまうと、噛み合わせのバランスが崩れたり、周囲の歯に負担がかかったりすることがあります。 本症例では、左下奥歯の欠損に対してインプラント治療を行い、噛む機能の回復と長期安定を目指しました。 入れ歯が痛い、噛みにくい、奥歯を失ってそのままになっている方は、 インプラント治療のページもあわせてご覧ください。 当院ではCT検査をもとに、骨の状態や噛み合わせを確認したうえで治療計画をご提案します。 目次 症例の概要 来院の経緯 初診時の評価 治療方針 治療の流れ 術前後の比較 治療の詳細・費用・リスク 入れ歯が痛い方にインプラントが選択肢になる理由 治療後に大切なメンテナンス 当院より ご相談・WEB予約 症例の概要|入れ歯が痛くて使えず、奥歯の欠損を放置していたケース 患者様は60代男性で、以前に欠損部へ入れ歯を作製されたものの、痛みが強く、日常的に使うことができなかったとのことでした。 その後、奥歯がない状態のまま過ごされていましたが、「このままでは噛みにくいので、しっかり治療したい」と考えられ、当院へご相談に来られました。 欠損部位は左下6番(第一大臼歯)でした。 第一大臼歯は食事の際に大きな力がかかる重要な奥歯です。失ったまま放置すると、反対側ばかりで噛む癖がついたり、周囲の歯へ負担が集中したりすることがあります。 来院の経緯|「入れ歯が痛くて使えない」ことがきっかけでした 患者様は、欠損部に対して一度入れ歯を作られていました。 しかし、装着時の痛みが強く、食事のときにも違和感があり、実際にはほとんど使えない状態だったそうです。 入れ歯が痛い場合、「我慢して使う」「使わずに放置する」という選択になってしまうことがあります。 しかし奥歯がない状態が続くと、噛む力のバランスが崩れ、他の歯や顎関節に負担がかかることがあります。 「入れ歯が痛い」「入れ歯が合わない」「噛めないまま放置している」という場合でも、治療の選択肢はあります。 インプラントが適応できるかどうかは、骨の状態・全身状態・噛み合わせを確認して判断します。 初診時の評価|左下6番欠損に対してCT・レントゲンで確認 初診時には、欠損部の歯ぐきの状態、周囲の歯の傾き、噛み合わせ、清掃状態を確認しました。 欠損期間が長くなると、隣の歯が傾いたり、噛み合わせの高さが変化したりすることがあります。 インプラント治療では、見た目だけでなく、骨の厚み・高さ・神経との距離・噛み合わせの力を確認することが重要です。 本症例でも、術前にレントゲン・CT評価を行い、安全に埋入できるかを検討しました。 初診時の口腔内写真(治療前) 左下6番の欠損により、噛みにくさが生じている状態でした。 欠損部を放置すると、反対側で噛む癖や、周囲歯への負担が増えることが懸念されます。 ▲ 治療前:左下奥歯の欠損部の状態 術前レントゲン・CT評価 インプラントを安全に行うためには、骨の状態だけでなく、下顎管と呼ばれる神経の位置を把握する必要があります。 本症例でも、術前に画像診査を行い、埋入位置・深さ・角度を計画しました。 ▲ 術前レントゲン・CT評価をもとに治療計画を立てます 治療方針|固定式でしっかり噛める状態を目指しました 左下6番の欠損に対して、固定式でしっかり噛める状態を目指し、インプラント治療を計画しました。 入れ歯が痛くて使えなかった背景も踏まえ、噛み合わせの負担配分や清掃性を意識しながら治療を進めました。 治療で重視したポイント 左下奥歯でしっかり噛める状態を回復する 隣の歯に余計な負担をかけにくい治療を選択する 神経との距離を確認し、安全性に配慮して埋入する 清掃しやすい補綴形態を目指す 長期安定のため、治療後のメンテナンスまで考える 治療の流れ|埋入からジルコニアクラウン装着まで ① インプラント埋入手術 術前計画に基づき、神経までの距離や骨幅を確認しながら、インプラントを埋入しました。 極力侵襲を少なくするために、歯肉はほとんど切開せずに行っています。 奥歯は噛む力が強くかかるため、位置・方向性を丁寧に調整することが重要です。 ▲ 埋入直後:傷口が目立ちにくい状態です ② 治癒期間|骨との結合を待ちます 埋入後は、インプラント体と骨が結合するまでの期間が必要です。 この期間中は、痛みや腫れ、噛み合わせの負担が偏っていないかを確認しながら経過を見ます。 安定が確認できた段階で、最終的な被せ物の製作へ進みます。 ③ 最終補綴|ジルコニアクラウンを装着 最終的に、インプラント上にジルコニアクラウンを装着しました。 噛める機能と自然な見た目を回復し、清掃しやすい形態になるよう配慮しています。 治療後も、長く良い状態を保つためには噛み合わせの確認と定期メンテナンスが重要です。 ▲ 最終補綴装着後:安定した噛み合わせを目指しました 術前後の比較|欠損部に固定式の歯が入り、噛みやすい状態へ 治療前は左下6番が欠損しており、噛みにくさや周囲歯への負担が懸念される状態でした。 治療後は固定式の被せ物が入り、奥歯で噛む機能の回復を目指せる状態になりました。 ▲ 治療前 → ジルコニアクラウン装着後 治療の詳細・費用・リスク 年齢・性別 60代・男性 主訴 入れ歯が痛くて使えず放置していたが、しっかり治療したい 診断 左下6番欠損 治療内容 左下6番インプラント埋入、ジルコニアクラウンによる補綴 治療期間 約3ヶ月半 治療費用 1本 約45万円(税別)※部位・骨の状態・補綴物により変動します リスク・副作用 ・術後の腫れ、痛み、内出血が生じることがあります。 ・神経や血管の位置によっては、埋入位置の調整が必要になる場合があります。 ・骨の状態によっては、追加処置や治癒期間の延長が必要になる場合があります。 ・清掃不良、喫煙、過度な咬合負荷などにより、インプラント周囲炎のリスクがあります。 ・長期安定のため、定期的なメンテナンスと咬合管理が必要です。 ・インプラント治療は保険適用外の自由診療です。 入れ歯が痛い方にインプラントが選択肢になる理由 入れ歯は、取り外しができる一方で、歯ぐきに当たって痛みが出たり、噛むと沈み込んで不安定に感じたりすることがあります。 特に奥歯の欠損では、噛む力が大きくかかるため、入れ歯の違和感や痛みが気になりやすいことがあります。 インプラントは、顎の骨に人工歯根を埋入し、その上に被せ物を装着する固定式の治療です。 適応できる場合には、入れ歯に比べて動きにくく、しっかり噛みやすい状態を目指せます。 インプラントが選択肢になりやすいケース 入れ歯が痛くて使えない 入れ歯が動いて噛みにくい 奥歯がなく、片側ばかりで噛んでいる ブリッジのために健康な歯を削りたくない 固定式の歯でしっかり噛みたい 欠損を放置していて、治療方法を相談したい ただし、インプラントはすべての方に適応できるわけではありません。 骨の量、全身状態、喫煙習慣、歯周病の有無、噛み合わせなどを総合的に確認する必要があります。 治療後に大切なメンテナンス|長く使うために必要です インプラントは虫歯にはなりませんが、インプラント周囲炎という歯周病に似たトラブルが起こることがあります。 周囲に汚れがたまり、炎症が進むと、支えている骨に影響することがあります。 そのため、治療後は定期的に噛み合わせや清掃状態を確認し、必要に応じて専門的なクリーニングを行うことが大切です。 治療後に確認するポイント インプラント周囲の歯ぐきに炎症がないか 被せ物の周囲に汚れが残っていないか 噛み合わせの力が強くかかりすぎていないか 隣の歯や反対側の歯に負担が出ていないか 歯ブラシ・歯間ブラシが適切に使えているか 歯ぐきの腫れ、出血、口臭、歯のぐらつきが気になる方は、 歯周病治療のページ もあわせてご覧ください。 当院より|入れ歯が痛い・噛めない状態を我慢しないでください 入れ歯が合わずに痛みが出ると、「もう仕方ない」と我慢してしまう方も少なくありません。 しかし奥歯がない状態が続くと、噛み合わせの偏りや周囲歯への負担が増え、お口全体のバランスが崩れやすくなります。 本症例では、左下6番の欠損に対してインプラント治療を行い、しっかり噛める機能の回復を目指しました。 結果として、固定式の歯が入り、日常の食事がしやすい状態へ改善しています。 「入れ歯が痛い」「噛めないのを我慢している」「奥歯を失ってそのままにしている」という方も、まずは一度ご相談ください。 骨の状態や噛み合わせを確認したうえで、インプラント・入れ歯・ブリッジなど、患者様に合った選択肢を一緒に考えていきます。 はやかわ歯科 小児矯正歯科について はやかわ歯科 小児矯正歯科は、京都府亀岡市古世町にある歯科医院です。 小児矯正・ マウスピース矯正・ インプラント・ 親知らずの抜歯・ 歯周病治療・ 予防メンテナンスまで、幅広いお口のお悩みに対応しています。 お子さまの歯並びや口呼吸、成人の矯正相談、入れ歯が合わない方のインプラント相談など、将来を見据えた治療計画をご提案します。 亀岡市・南丹市で入れ歯が痛い・噛めない方へ|インプラント相談 はやかわ歯科 小児矯正歯科では、CT検査やレントゲンをもとに、骨の状態・神経との距離・噛み合わせを確認し、インプラント治療が可能かどうかを診断します。 「これって治療できるの?」「他院で難しいと言われた」「入れ歯が痛くて使えない」という方も、お気軽にご相談ください。 〒621-0815 京都府亀岡市古世町芝原35-5|駐車場11台完備 関連ページ: インプラント治療 / 歯周病治療 / 親知らずの抜歯 ご相談・WEB予約はこちら 著者情報 院長 早川 倫正

詳しくはこちら
インプラント 症例

【インプラント症例】『骨が無いから難しい』と言われた方への治療

骨が少ないと言われた方へ|上顎奥歯をソケットリフト併用インプラントで改善した症例(亀岡市) こんにちは、亀岡市のはやかわ歯科 小児矯正歯科です。 「インプラントを希望したけれど、骨が少なくて難しいと言われた」「上の奥歯を抜歯した後、しっかり噛めないままになっている」という方もいらっしゃるのではないでしょうか。 今回は、上顎の奥歯を抜歯後、一定期間の治癒を経て「もう一度しっかり噛みたい」と来院された症例をご紹介します。 骨量が不足している部位に対して、ソケットリフト(上顎洞底挙上術)を併用し、機能回復と長期安定を目指して治療を行いました。 上顎の奥歯で噛みにくい、抜歯後そのままになっている、骨が少ないと言われた方は、 インプラント治療のページもあわせてご覧ください。 当院ではCT検査をもとに、骨の状態・上顎洞との距離・噛み合わせを確認したうえで治療計画をご提案します。 目次 症例の概要 来院の経緯 初診時の評価 治療方針 治療の流れ 術前後の比較 治療の詳細・費用・リスク 骨が少ない上顎奥歯でソケットリフトが選択肢になる理由 治療後に大切なメンテナンス 当院より ご相談・WEB予約 症例の概要|上顎奥歯の骨量不足に対してソケットリフトを併用したケース 患者様は70代男性で、約1年前に上顎の奥歯を抜歯されていました。 前医では「治癒を待ってからインプラント治療を検討する」と説明を受けておられ、抜歯後の治癒期間を経て治療再開を希望されました。 しかし、上顎奥歯の部位は上顎洞(副鼻腔)に近く、残っている骨の高さが不足しやすい部位です。 本症例でも、通常の埋入だけでは十分な骨量を確保しにくい状態であったため、骨条件に合わせた術式選択が必要でした。 来院の経緯|京都市内への通院負担が大きく、当院へご相談されました 患者様は、抜歯後1年が経過したタイミングで「そろそろしっかり噛めるように治したい」と考えられていました。 一方で、治療のために京都市内まで通院することは負担が大きく、通いやすい歯科医院で相談したいとのことで当院へ来院されました。 インプラント治療は、手術だけでなく、診断・治癒期間中の確認・補綴装着・治療後のメンテナンスまで継続的な通院が必要です。 そのため、無理なく通える距離で治療とメンテナンスを続けられることも、長期安定には大切です。 「骨が少ないと言われた」「上顎洞に近くて難しいと言われた」という場合でも、すぐに治療をあきらめる必要はありません。 CTで骨の高さ・幅・上顎洞との距離を確認し、ソケットリフトなどの骨造成を併用することで治療の選択肢が広がる場合があります。 初診時の評価|右上奥歯の欠損と上顎洞までの距離を確認 欠損部位は右上の奥歯でした。 上顎の奥歯は、歯を失ったあとに骨が吸収しやすく、さらに上顎洞が近いため、インプラント埋入に必要な骨量が不足しやすい部位です。 初診時には、欠損部の歯ぐきの状態、対合歯との噛み合わせ、隣の歯への負担、清掃状態を確認しました。 また、レントゲン・CT評価により、上顎洞底までの距離・残存骨量・埋入可能な位置を慎重に確認しました。 初診時の口腔内写真(治療前) 上顎臼歯部の欠損により、咀嚼効率の低下がみられました。 欠損を放置すると、対合歯や隣在歯への負担増加、噛み合わせのバランスの乱れが懸念されます。 ▲ 治療前:上顎奥歯の欠損部の状態 術前レントゲン・CT評価 右上欠損部では、上顎洞底までの距離が短く、埋入に必要な垂直的骨量が限られていました。 安全性と長期安定性を確保するため、骨条件に合わせた術式選択が必要と判断しました。 ▲ 術前レントゲン・CT評価をもとに治療計画を立てます 治療方針|ソケットリフトを併用し、固定式で噛める状態を目指しました 右上の欠損に対して、インプラント治療を計画しました。 ただし、上顎洞までの距離が近く、骨量が不足していたため、ソケットリフト(上顎洞底挙上術)を併用する方針としました。 ソケットリフトは、上顎洞の底部を慎重に持ち上げ、インプラントを支えるための骨高径を確保する処置です。 骨の状態を確認しながら、適切な埋入ポジションを設定して治療を進めました。 治療で重視したポイント 右上奥歯でしっかり噛める状態を回復する 上顎洞との距離を確認し、安全性に配慮する 骨量不足に対してソケットリフトを適切に併用する 噛み合わせの負担が集中しない補綴設計を行う 清掃しやすく、メンテナンスしやすい形態を目指す 治療の流れ|ソケットリフト併用埋入からセラミッククラウン装着まで ① インプラント埋入手術(右上はソケットリフト併用) 術前シミュレーションに基づき、埋入角度・深度・補綴スペースを考慮して手術を実施しました。 右上ではソケットリフトを併用し、上顎洞側へ必要な骨高径を確保したうえで埋入を行っています。 上顎奥歯は噛む力がかかりやすく、さらに骨条件の影響を受けやすい部位です。 そのため、インプラントの位置・方向性・深さを慎重に調整することが重要です。 ▲ 埋入直後:ソケットリフトを併用して骨量不足に対応しました ② 治癒期間|骨結合の安定化を待ちます 埋入後は、インプラント体と骨が結合するまでの期間を確保しました。 この期間中は、痛みや腫れの状態、軟組織の治癒、噛み合わせの負担が偏っていないかを確認しながら経過を見ます。 骨の状態や治癒の進み方には個人差があるため、最終補綴へ進む時期は状態を確認しながら調整しています。 ③ 最終補綴|セラミッククラウンを装着 骨結合の安定を確認した後、最終的にセラミッククラウンを装着しました。 噛む機能と自然な見た目を回復し、清掃性にも配慮した形態にしています。 治療後も、長く良い状態を保つためには、噛み合わせの確認と定期メンテナンスが重要です。 ▲ 最終補綴装着後:安定した噛み合わせを目指しました 術前後の比較|欠損部に固定式の歯が入り、噛みやすい状態へ 治療前は上顎奥歯が欠損しており、咀嚼効率の低下や噛み合わせの偏りが懸念される状態でした。 治療後は固定式の被せ物が入り、奥歯で噛む機能の回復を目指せる状態になりました。 ▲ 治療前 → セラミッククラウン装着後 治療の詳細・費用・リスク 年齢・性別 70代・男性 主訴 上顎奥歯で噛みにくい/インプラントで治したい 来院理由 抜歯後1年経過し治療希望。京都市内までの通院が遠方のため当院を受診 診断 右上大臼歯欠損、上顎洞近接を伴う骨量不足 治療内容 上顎臼歯部インプラント埋入、ソケットリフト併用、セラミッククラウンによる補綴 治療期間 約3〜5ヶ月 ※骨結合の経過により変動します 治療費用 1本 約50万円(税別)※部位・本数・骨造成の有無により変動します リスク・副作用 ・術後の腫れ、痛み、内出血が生じることがあります。 ・上顎洞に近接する部位では、解剖学的条件に応じた追加処置が必要になる場合があります。 ・骨の状態によっては、治癒期間の延長や追加処置が必要になる場合があります。 ・清掃不良、喫煙、過度な咬合負荷などにより、インプラント周囲炎のリスクがあります。 ・長期安定のため、定期的なメンテナンスと咬合管理が必要です。 ・インプラント治療および骨造成処置は保険適用外の自由診療です。 骨が少ない上顎奥歯でソケットリフトが選択肢になる理由 上顎の奥歯は、抜歯後に骨が吸収しやすく、さらに上顎洞が近いため、インプラントを支える骨の高さが不足しやすい部位です。 骨の高さが不足している状態で無理に埋入すると、初期固定が得にくかったり、上顎洞との位置関係に注意が必要になったりします。 ソケットリフトは、上顎洞底を慎重に持ち上げ、骨補填材などを用いてインプラントを支えるスペースを確保する方法です。 骨量不足があるケースでも、条件が合えば固定式の歯で噛める状態を目指せる可能性があります。 ソケットリフトが検討されやすいケース 上顎奥歯の骨が少ないと言われた 抜歯後、時間が経って骨が痩せている 上顎洞までの距離が近い 入れ歯ではなく固定式で噛みたい 奥歯の欠損を放置している 遠方通院が負担で、近くで継続的に相談したい ただし、ソケットリフトはすべての方に適応できるわけではありません。 骨の量、上顎洞の状態、全身状態、喫煙習慣、歯周病の有無、噛み合わせなどを総合的に確認する必要があります。 治療後に大切なメンテナンス|長く使うために必要です インプラントは虫歯にはなりませんが、インプラント周囲炎という歯周病に似たトラブルが起こることがあります。 周囲に汚れがたまり、炎症が進むと、支えている骨に影響することがあります。 そのため、治療後は定期的に噛み合わせや清掃状態を確認し、必要に応じて専門的なクリーニングを行うことが大切です。 治療後に確認するポイント インプラント周囲の歯ぐきに炎症がないか 被せ物の周囲に汚れが残っていないか 噛み合わせの力が強くかかりすぎていないか 隣の歯や反対側の歯に負担が出ていないか 歯ブラシ・歯間ブラシが適切に使えているか 歯ぐきの腫れ、出血、口臭、歯のぐらつきが気になる方は、 歯周病治療のページ もあわせてご覧ください。 当院より|骨が少ないと言われた場合も、まずは一度ご相談ください 上顎の奥歯が欠損した状態を放置すると、咀嚼効率の低下だけでなく、他の歯への過負荷や噛み合わせのバランスの乱れにつながることがあります。 また、抜歯後の期間が長くなるほど骨が痩せ、治療の選択肢が限られる場合もあります。 本症例では、右上の骨量不足に対してソケットリフトを併用し、欠損部を機能的に回復しました。 その結果、しっかり噛める感覚の改善、清掃性の確保、長期安定を見据えた補綴設計を目指すことができました。 「骨が少ないと言われた」「抜歯後そのままになっている」「遠方通院が負担で治療をためらっている」という方も、解決できる方法があるかもしれません。 まずは骨の状態や噛み合わせを確認したうえで、インプラント・入れ歯・ブリッジなど、患者様に合った選択肢を一緒に考えていきます。 はやかわ歯科 小児矯正歯科について はやかわ歯科 小児矯正歯科は、京都府亀岡市古世町にある歯科医院です。 小児矯正・ マウスピース矯正・ インプラント・ 親知らずの抜歯・ 歯周病治療・ 予防メンテナンスまで、幅広いお口のお悩みに対応しています。 お子さまの歯並びや口呼吸、成人の矯正相談、入れ歯が合わない方のインプラント相談など、将来を見据えた治療計画をご提案します。 亀岡市・南丹市で骨が少ないと言われた方へ|上顎奥歯のインプラント相談 はやかわ歯科 小児矯正歯科では、CT検査やレントゲンをもとに、骨の状態・上顎洞との距離・噛み合わせを確認し、治療が可能かどうかを診断します。 「これって治療できるの?」「他院で難しいと言われた」「上顎の奥歯で噛めない」という方も、お気軽にご相談ください。 〒621-0815 京都府亀岡市古世町芝原35-5|駐車場11台完備 関連ページ: インプラント治療 / 歯周病治療 / 親知らずの抜歯 ご相談・WEB予約はこちら 著者情報 院長 早川 倫正

詳しくはこちら
インプラント 症例

【インプラント症例】奥歯で食事がしづらい方への治療|亀岡市

奥歯で食事がしづらい方へのインプラント治療|亀岡市で噛む機能を回復した症例 こんにちは、亀岡市のはやかわ歯科 小児矯正歯科です。 今回は、他院で奥歯を抜歯した後、「左下の奥歯で噛めない」「食事がしづらい」とお悩みになり、インプラント治療を希望して当院へご相談された症例をご紹介します。 奥歯は食事の中心となる大切な歯です。失ったまま時間が経つと、噛みにくさだけでなく、周囲の歯への負担や噛み合わせの乱れにつながることがあります。 今回は、食事のしづらさを改善し、将来を見据えてしっかり噛める状態を目指すために、インプラント治療を行いました。 入れ歯が痛い、噛みにくい、奥歯を失ってそのままになっている方は、 インプラント治療のページもあわせてご覧ください。 亀岡市・南丹市周辺でインプラント治療をご検討の方は、はやかわ歯科 小児矯正歯科までお気軽にご相談ください。 目次 症例の概要 治療前の状態 治療の流れ 治療後の状態 治療の詳細 リスク・副作用 当院より ご相談・WEB予約 症例の概要|左下の奥歯で噛めないことが主なお悩みでした 患者様は、「左下の奥歯で噛めない」「食事がしづらい」というお悩みで来院されました。 他院で左下の奥歯を抜歯された後、欠損部をそのままにしていたことで、食事の際に噛みにくさを感じておられました。 診査の結果、左下大臼歯部の欠損があり、時間の経過により欠損部周囲の骨吸収もみられる状態でした。 患者様は、取り外し式の入れ歯ではなく、固定式でしっかり噛める治療を希望され、相談のうえでインプラント治療を行うことになりました。 治療前の状態|左下の奥歯が欠損し、食事がしづらい状態でした 初診時の写真 左下の奥歯が欠損しており、奥歯でしっかり噛みにくい状態でした。 奥歯を失ったまま時間が経つと、隣の歯が傾いたり、噛み合う歯が伸びてきたりすることがあり、噛み合わせ全体に影響する場合があります。 ▲ 治療前:左下奥歯の欠損部の状態 術前レントゲン写真 レントゲンで欠損部の骨の状態や、周囲の歯への影響を確認しました。 インプラント治療では、見た目だけでなく、骨の量・骨の形・噛み合わせ・清掃性を確認したうえで治療計画を立てることが大切です。 ▲ 術前レントゲン写真 治療の流れ|インプラント埋入から最終補綴まで 1)インプラント埋入手術 欠損部の骨の状態を確認したうえで、適切な位置・角度・深さを考慮してインプラントを埋入しました。 奥歯は噛む力が強くかかる部位のため、将来的に安定して噛めるよう、インプラントの方向性や補綴物の設計を慎重に考える必要があります。 ▲ インプラント埋入直後 2)治癒期間|骨とインプラントの結合を待ちます インプラント埋入後は、骨とインプラントが結合するまで治癒期間を設けます。 この期間は、無理な力がかからないように注意しながら、歯ぐきや周囲組織の回復を確認します。 ▲ 治癒期間:骨との結合を待っている状態 3)最終補綴物の装着 インプラントと骨の結合を確認した後、セラミックの被せ物を装着しました。 周囲の歯とのバランスや噛み合わせを確認し、奥歯で噛みやすい状態を目指しました。 ▲ 最終補綴物セット後 術前後の比較|奥歯で噛める状態を目指しました 治療前は左下の奥歯が欠損しており、食事の際に噛みにくさがありました。 インプラント治療により、固定式の歯を装着し、奥歯で噛みやすい状態を目指しました。 ▲ 治療前後の比較 治療の詳細 患者様の年齢・性別 70代・女性 主訴 左下の奥歯で噛めない・インプラント治療を希望 診断 左下大臼歯欠損・軽度骨吸収 治療内容 インプラント埋入、セラミック補綴 治療期間 約3か月 治療費用 約45万円(税別) リスク・副作用 インプラント治療は外科処置を伴うため、術後に腫れ・痛み・出血・内出血が出ることがあります。 骨の状態や全身状態により、治癒期間が延長することがあります。 骨量が不足している場合、骨造成など追加処置が必要になることがあります。 インプラント周囲炎のリスクがあるため、治療後の定期メンテナンスが必要です。 噛む力が強い場合、補綴物の欠け・緩み・破損が起こることがあります。 治療結果には個人差があり、すべての方に同じ結果を保証するものではありません。 インプラントを長く安定させるためには、治療後のメンテナンスがとても大切です。 歯ぐきの腫れ、出血、口臭、歯のぐらつきが気になる方は、 歯周病治療のページもあわせてご覧ください。 当院より|奥歯を失った後の治療は、噛み合わせ全体を考えることが大切です 奥歯は、食事のしやすさだけでなく、噛み合わせ全体を支える重要な役割があります。 奥歯を失ったままにしていると、片側ばかりで噛むようになったり、周囲の歯に負担がかかったりすることがあります。 今回の症例では、骨の状態や噛み合わせを確認したうえで、インプラント治療を行いました。 インプラントは、固定式で噛みやすさを回復しやすい治療方法ですが、誰にでも必ず適応できるわけではありません。 骨の量、全身状態、清掃状態、噛む力、メンテナンスへの通院状況などを確認したうえで、治療方針を決めることが大切です。 「奥歯がなくて片側ばかりで噛んでいる」「入れ歯が痛い」「食事がしづらい」という方は、 インプラント治療のページをご覧ください。 はやかわ歯科 小児矯正歯科について はやかわ歯科 小児矯正歯科は、京都府亀岡市古世町にある歯科医院です。 小児矯正・ マウスピース矯正・ インプラント・ 親知らずの抜歯・ 歯周病治療・ 予防メンテナンスまで、幅広いお口のお悩みに対応しています。 お子さまの歯並びや口呼吸、成人の矯正相談、入れ歯が合わない方のインプラント相談など、将来を見据えた治療計画をご提案します。 亀岡市・南丹市で奥歯がなく食事がしづらい方へ 奥歯を失ったままにしていると、食事のしづらさだけでなく、周囲の歯や噛み合わせにも影響することがあります。 「入れ歯が合わない」「奥歯で噛めない」「固定式の治療を検討したい」という方は、まずは一度ご相談ください。 骨の状態や噛み合わせを確認し、インプラントを含めた治療方法を一緒に考えます。 〒621-0815 京都府亀岡市古世町芝原35-5|駐車場11台完備 関連ページ: インプラント治療 / 歯周病治療 / 親知らずの抜歯 ご相談・WEB予約はこちら 著者情報 院長 早川 倫正

詳しくはこちら
インプラント 症例

【インプラント症例】前歯が折れて膿がたまった方への治療|亀岡市

前歯が折れて膿がたまったケースに対するインプラント治療|亀岡市の症例紹介 こんにちは、亀岡市のはやかわ歯科 小児矯正歯科です。 今回は、前歯が折れてしまい、根の先に大きな膿がたまり、周囲の骨が失われていた症例に対して、インプラント治療を行ったケースをご紹介します。 前歯は見た目の印象に大きく関わるだけでなく、噛み合わせや発音にも関係する大切な部位です。 感染源を取り除き、見た目と機能の両方を回復するため、抜歯・嚢胞摘出・インプラント埋入・歯ぐきの移植・セラミック補綴を組み合わせて治療を行いました。 前歯を失った場合の治療方法や、入れ歯が合わない・噛みにくいことでお悩みの方は、 インプラント治療のページもあわせてご覧ください。 当院ではCT検査をもとに、骨の状態や噛み合わせ、清掃性を確認したうえで治療計画をご提案します。 目次 症例の概要 初診時の状態 レントゲンで確認したこと 治療の流れ 歯ぐきの移植を行った理由 最終補綴物の装着 治療の詳細・費用・リスク インプラント後のメンテナンス 当院より 症例の概要|前歯の破折と根の先の膿によるインプラント治療 患者様は、「右上の前歯が腫れてきた」「歯ぐきにできものができて痛い」という主訴で来院されました。 診査の結果、前歯が根の内部で破折しており、細菌感染によって根の先に膿がたまっている状態でした。 感染が長く続くと、歯の周囲の骨が吸収され、隣の歯や将来的な治療にも影響することがあります。 今回は、歯の保存が難しい状態であったため、感染源を取り除いたうえで、前歯部の見た目と噛む機能を回復する目的で インプラント治療 を行いました。 初診時の状態|前歯の歯ぐきに腫れとできものが見られました 初診時、右上の前歯周囲には炎症による腫れが見られました。 歯の根の中で破折が起こり、そこから細菌が侵入したことで、根の先に膿がたまっている状態でした。 このような状態を放置すると、痛みや腫れを繰り返すだけでなく、周囲の骨がさらに吸収され、治療の選択肢が狭くなる可能性があります。 初診時の口腔内写真① 初診時の口腔内写真② レントゲンで確認したこと|根の先に膿がたまり、骨が吸収されていました レントゲンでは、歯の根の先に膿がたまっており、周囲の骨が大きく吸収されている状態が確認されました。 感染した歯をそのまま残すと、周囲の健康な歯や骨にも悪影響を及ぼすおそれがあります。 そのため、感染源となっている歯を抜歯し、根の先にたまった膿の袋を取り除いたうえで、将来的なインプラント治療に向けて骨と歯ぐきの状態を整える方針としました。 ▲ 根の先に膿がたまり、周囲の骨が吸収されている状態 治療の流れ|感染除去からインプラント補綴まで段階的に進めました ① 抜歯と嚢胞の摘出 まず、感染源となっている歯を丁寧に抜歯し、根の先にたまった嚢胞、つまり膿の袋を摘出しました。 感染した組織を取り除くことで、インプラント治療に向けて清潔な環境を整えます。 ▲ 感染源となる嚢胞を摘出しました ② インプラント埋入手術 抜歯後の治癒期間を経て、骨の状態を確認しながらインプラントを適切な位置と角度に埋入しました。 前歯部は見た目に大きく関わる部位のため、インプラントの位置・角度・歯ぐきの厚みを慎重に考える必要があります。 治療期間中は仮歯を使用し、見た目や日常生活への影響をできるだけ抑えながら進めました。 ▲ 骨の状態を確認しながらインプラントを埋入しました 歯ぐきの移植を行った理由|清掃性・審美性・長期安定のために 今回の症例では、感染により骨や歯ぐきの一部が失われていました。 そのため、インプラント周囲の歯ぐきの厚みと形を整える目的で、結合組織移植術を行いました。 前歯のインプラントでは、ただ噛めるだけでなく、自然な見た目や清掃しやすさも重要です。 歯ぐきに厚みを持たせることで、見た目の調和を図り、インプラント周囲を長期的に安定させやすくなります。 ▲ 歯ぐきの厚みを補うため、結合組織移植術を行いました 最終補綴物の装着|自然な見た目と噛み心地を回復 治療期間中は仮歯を装着し、歯の形・色・歯ぐきとの調和・噛み合わせを確認しながら調整しました。 最終的に、インプラント上にセラミッククラウンを装着し、前歯としての見た目と機能の回復を図りました。 ▲ 最終補綴物装着後の状態 術前後の比較 ▲ 術前後の比較 前歯のインプラント治療について詳しく知りたい方は、 インプラント治療のページ もご覧ください。 治療の詳細・費用・リスク 患者様の年齢・性別 30代・女性 主訴 前歯が腫れて痛い・歯ぐきにできものができた 診断 前歯の歯根破折による慢性根尖性歯周炎 治療内容 抜歯、嚢胞摘出、インプラント埋入、結合組織移植術、セラミック補綴 治療期間 約10ヶ月 治療費用 約60万円(税別) リスク・副作用 ・定期的なメンテナンスを怠ると、インプラント周囲炎を起こすリスクがあります。 ・骨や歯ぐきの状態によっては、骨造成や治癒期間が長く必要となる場合があります。 ・外科処置後に腫れ、痛み、内出血、違和感が出ることがあります。 ・インプラント治療は保険適用外の自由診療です。 ・治療結果には個人差があります。 インプラント後のメンテナンス|長く安定させるために大切です インプラントは、治療が終わったら一生何もしなくてよいものではありません。 天然歯と同じように、毎日のセルフケアと定期メンテナンスが必要です。 特にインプラント周囲に汚れが残ると、インプラント周囲炎を起こすリスクがあります。 インプラント周囲炎が進行すると、周囲の骨が失われ、インプラントの安定に影響することがあります。 メンテナンスで確認すること インプラント周囲の歯ぐきの状態 出血や腫れの有無 清掃状態 噛み合わせの変化 被せ物のゆるみや破損 周囲の歯や歯周病の状態 歯ぐきの腫れ、出血、口臭、歯のぐらつきが気になる方は、 歯周病治療のページ もご確認ください。 インプラント治療を長く安定させるためにも、歯周病管理はとても重要です。 当院より|感染除去と歯ぐきの補強を組み合わせた前歯のインプラント治療 今回の症例では、前歯の根が破折し、根の先に膿がたまっていたため、まず感染源を取り除くことが重要でした。 さらに、骨と歯ぐきの一部が失われていたため、感染除去・インプラント埋入・歯ぐきの移植・セラミック補綴を段階的に行いました。 前歯のインプラント治療では、見た目だけでなく、清掃性・噛み合わせ・長期安定性まで考えた治療計画が大切です。 「前歯が折れた」「歯ぐきに膿がたまっている」「抜歯後の治療方法を知りたい」という方は、お気軽にご相談ください。 前歯や奥歯を失った後の治療、入れ歯が合わない・噛みにくいことでお悩みの方は、 インプラント治療のページ もあわせてご覧ください。 はやかわ歯科 小児矯正歯科について はやかわ歯科 小児矯正歯科は、京都府亀岡市古世町にある歯科医院です。 小児矯正・ マウスピース矯正・ インプラント・ 親知らずの抜歯・ 歯周病治療・ 予防メンテナンスまで、幅広いお口のお悩みに対応しています。 お子さまの歯並びや口呼吸、成人の矯正相談、入れ歯が合わない方のインプラント相談など、将来を見据えた治療計画をご提案します。 亀岡市・南丹市で前歯のインプラント治療をご相談されたい方へ はやかわ歯科 小児矯正歯科では、CT検査や口腔内診査をもとに、骨・歯ぐき・噛み合わせ・見た目のバランスを考えたインプラント治療をご提案しています。 「前歯が折れた」「歯ぐきに膿がたまっている」「抜歯後にどんな治療ができるか知りたい」など、気になることがあればお気軽にご相談ください。 〒621-0815 京都府亀岡市古世町芝原35-5|駐車場10台完備 関連ページ: インプラント治療 / 歯周病治療 / 親知らずの抜歯 ご相談・WEB予約はこちら 著者情報 院長 早川 倫正

詳しくはこちら
マウスピース矯正 症例

【マウスピース矯正】出っ歯・ガタガタを改善した症例|亀岡市

出っ歯・ガタガタの歯並びをマウスピース矯正で改善した症例|永久歯非抜歯で治療したケース(亀岡市) こんにちは、亀岡市のはやかわ歯科 小児矯正歯科です。 今回は、前歯の突出感、口の閉じづらさ、全体的なガタつき(叢生)を気にされていた20代女性に対して、マウスピース矯正で歯並びを改善した症例をご紹介します。 患者様は「できれば歯は抜きたくない」というご希望がありました。診査・診断の結果、永久歯は抜かず、過剰歯2本のみ抜歯したうえで、インビザラインによるマウスピース矯正を行いました。 目立ちにくい矯正やマウスピース矯正をご希望の方は、 インビザラインのページをご覧ください。 歯並びの状態によって治療期間や費用、抜歯の必要性は異なるため、まずは診断が大切です。 目次 症例の概要 治療前の状態 診断と治療方針 マウスピース矯正で行ったこと 治療後の変化 治療前後の比較 治療の詳細・費用・リスク マウスピース矯正の特徴 当院より 症例の概要|出っ歯・叢生をマウスピース矯正で改善 患者様は20代女性の大学生で、「歯が出ていて口を閉じづらい」「全体的なガタつきが気になる」という主訴で来院されました。 就職活動までに歯並びを整えたいというご希望があり、見た目にも配慮しやすいマウスピース矯正を希望されました。 診査の結果、上下の前歯に突出感があり、歯列全体にもガタつきが見られました。 また、過剰歯が2本確認されたため、過剰歯のみ抜歯し、永久歯は抜かずに歯列を整える治療方針としました。 治療前の状態|前歯の突出感と全体的なガタつきがありました 治療前は、前歯が上下とも前方に突出しており、口元の閉じづらさにつながっていました。 また、2番目の歯が内側に引っ込み、3番目の歯が外側に飛び出している状態で、歯列に強いガタつきが見られました。 このような歯並びでは、見た目だけでなく、歯ブラシが届きにくい部分が増え、虫歯や歯肉炎のリスクが高くなることがあります。 そのため、見た目の改善だけでなく、清掃性や噛み合わせの改善も考えて治療を進めました。 ▲ 治療前:前歯の突出感と全体的なガタつきが見られました 診断と治療方針|永久歯は抜かず、過剰歯2本を抜歯して治療 患者様には「できれば歯を抜きたくない」というご希望がありました。 ただし、診査の結果、過剰歯が2本存在していたため、歯列を整えるうえで過剰歯の抜歯が必要と判断しました。 今回の治療では、通常の永久歯は抜歯せず、過剰歯2本のみ抜歯しています。 そのうえで、マウスピース矯正によって歯列全体をコントロールし、前歯の突出感とガタつきの改善を目指しました。 「非抜歯矯正」といっても、症例によって意味が異なります。 今回は、歯並びを作るうえで必要な永久歯は抜かず、余分に存在していた過剰歯のみを抜歯したケースです。 マウスピース矯正で行ったこと|歯列全体を整え、前歯の突出感を改善 マウスピース矯正では、透明な装置を段階的に交換しながら歯を動かしていきます。 今回は、歯列全体の幅や前後的なバランスを確認しながら、ガタつきと突出感を改善していきました。 治療で目指したポイント 前歯の突出感を改善する 全体的なガタつきを整える 歯磨きしやすい歯列に近づける 口元の閉じづらさを改善する 噛み合わせのバランスを整える 就職活動前に見た目の印象を整える マウスピース矯正は取り外しができる一方で、装着時間を守ることが治療結果に大きく影響します。 患者様にも装着時間を守っていただきながら、定期的に歯の動きや噛み合わせを確認して治療を進めました。 亀岡市の歯並び相談|はやかわ歯科 小児矯正歯科のInstagramはこちら 治療後の変化|歯並びと口元の印象が自然に整いました 治療後は、全体的な歯列のガタつきが改善され、前歯の突出感も大きく軽減しました。 歯が整ったことで、歯磨きもしやすくなり、虫歯や歯肉炎の予防にもつながりやすい状態になっています。 また、口元の印象も自然で柔らかくなり、笑顔にも自信を持っていただきやすい仕上がりとなりました。 ▲ 治療後:前歯の突出感とガタつきが改善されました 治療前後の比較|歯列全体のバランスが改善 治療前後を比較すると、前歯の突出感、歯列のガタつき、歯の並びのバランスが改善していることが分かります。 歯並びが整うことで、見た目だけでなく、歯磨きのしやすさや噛み合わせの安定にもつながります。 ▲ 治療前後の比較 目立ちにくい矯正やマウスピース矯正をご希望の方は、 インビザラインのページ もあわせてご覧ください。 治療の詳細・費用・リスク 患者様の年齢・性別 20代・女性(大学生) 主訴 前歯の突出感、口の閉じづらさ、全体的なガタつき、噛み合わせ不良 診断 上下前歯部の突出感を伴う叢生、過剰歯 治療内容 マウスピース矯正(インビザライン)、過剰歯2本抜歯、永久歯非抜歯 治療期間 約2年 治療費用 約85万円(税込) リスク・副作用 ・マウスピースの装着時間を守れない場合、治療期間が延長することがあります。 ・歯の動きには個人差があり、計画通りに進まない場合があります。 ・治療中に痛み、違和感、発音しづらさを感じることがあります。 ・歯根吸収、歯肉退縮、虫歯、歯肉炎が起こる可能性があります。 ・治療後は後戻り防止のため、保定装置の使用が必要です。 ・マウスピース矯正は保険適用外の自由診療です。 マウスピース矯正の特徴|見た目だけでなく清掃性の改善にもつながります マウスピース矯正は、透明な装置を使用するため、従来のワイヤー矯正に比べて目立ちにくいことが特徴です。 また、食事や歯みがきの際に取り外しができるため、日常生活に取り入れやすい矯正方法です。 ただし、マウスピース矯正はすべての症例に適応できるわけではありません。 歯並びの状態、噛み合わせ、骨格、歯の大きさ、抜歯の必要性などを診断したうえで、適応を判断する必要があります。 マウスピース矯正で期待できること 目立ちにくく矯正治療を進めやすい 取り外しができ、歯みがきしやすい 歯並びが整うことで清掃性が改善しやすい 口元の印象が整いやすい 症例によっては永久歯を抜かずに治療できる可能性がある 目立ちにくい矯正やマウスピース矯正をご希望の方は、 インビザラインのページ をご覧ください。 お子さまの歯並び、口呼吸、舌の位置、噛み合わせが気になる方は、 小児矯正のページ もあわせてご覧ください。 当院より|「抜かずに整える」ためにも、まずは正確な診断が大切です 今回の症例では、患者様の「できれば歯は抜きたくない」というご希望をふまえ、永久歯を抜かずに、過剰歯2本のみ抜歯してマウスピース矯正を行いました。 その結果、前歯の突出感と全体的なガタつきが改善し、清掃性や口元の印象も整いました。 ただし、すべての方が非抜歯で治療できるわけではありません。 出っ歯や叢生の程度、歯の大きさ、あごの幅、噛み合わせ、口元のバランスによって、適切な治療方針は異なります。 「歯を抜かずに矯正できる?」「マウスピース矯正で治せる?」「就職活動や結婚式までに歯並びを整えたい」など、気になることがあればお気軽にご相談ください。 はやかわ歯科 小児矯正歯科について はやかわ歯科 小児矯正歯科は、京都府亀岡市古世町にある歯科医院です。 小児矯正・ マウスピース矯正・ インプラント・ 親知らずの抜歯・ 歯周病治療・ 予防メンテナンスまで、幅広いお口のお悩みに対応しています。 お子さまの歯並びや口呼吸、成人の矯正相談、入れ歯が合わない方のインプラント相談など、将来を見据えた治療計画をご提案します。 亀岡市・南丹市で出っ歯・ガタガタの歯並びをマウスピース矯正で相談したい方へ はやかわ歯科 小児矯正歯科では、歯並び・噛み合わせ・口元のバランスを確認したうえで、マウスピース矯正が適応できるかを診断します。 「出っ歯を治したい」「歯を抜かずに矯正できるか知りたい」「インビザラインが自分に合うか相談したい」という方は、お気軽にご相談ください。 〒621-0815 京都府亀岡市古世町芝原35-5|駐車場10台完備 関連ページ: マウスピース矯正・インビザライン / 小児矯正 / 歯周病治療 ご相談・WEB予約はこちら 著者情報 院長 早川 倫正

詳しくはこちら
hayakawa

はやかわ歯科
小児矯正歯科の特徴

hayakawa

痛みの少ない治療を提供しています

表面麻酔などを用いて、できるだけ痛みを抑えた治療を行っています。患者様とのコミュニケーションを大切にし、不安なく治療を受けていただけるよう努めています。

hayakawa

患者様のお悩みをじっくりお伺いいたします

患者様の悩みや希望をじっくりと伺い、最適な治療プランをご提案します。治療内容や費用について、わかりやすく説明いたします。最後まで安心して治療を受けていただけるよう、
スタッフ一同努めております。

hayakawa

母親目線で寄り添う女性歯科医師が在籍

子育て中のお悩みはありませんか?当院には、2児の母であり、保育士資格も持つ女性ドクターが在籍。自身の子育て経験から、お子様のお口の健康だけでなく、成長に関するお悩みにも親身に寄り添います。近年増加するお子様の口呼吸や、受け口の早期治療にも注力。どんなことでもお気軽にご相談ください。

calenda
インプラント 症例

【インプラント症例】「入れ歯が痛い」「噛めない」を改善|亀岡市

入れ歯が痛くて使えない方へ|奥歯をインプラントで改善した症例(亀岡市) こんにちは、亀岡市のはやかわ歯科 小児矯正歯科です。 今回は、以前作った入れ歯が痛くて使えず、奥歯の欠損をそのままにしていた方が、「しっかり噛めるように治したい」とご相談に来られた症例をご紹介します。 入れ歯が合わない、痛い、噛みにくいという理由で欠損を放置してしまうと、噛み合わせのバランスが崩れたり、周囲の歯に負担がかかったりすることがあります。 本症例では、左下奥歯の欠損に対してインプラント治療を行い、噛む機能の回復と長期安定を目指しました。 入れ歯が痛い、噛みにくい、奥歯を失ってそのままになっている方は、 インプラント治療のページもあわせてご覧ください。 当院ではCT検査をもとに、骨の状態や噛み合わせを確認したうえで治療計画をご提案します。 目次 症例の概要 来院の経緯 初診時の評価 治療方針 治療の流れ 術前後の比較 治療の詳細・費用・リスク 入れ歯が痛い方にインプラントが選択肢になる理由 治療後に大切なメンテナンス 当院より ご相談・WEB予約 症例の概要|入れ歯が痛くて使えず、奥歯の欠損を放置していたケース 患者様は60代男性で、以前に欠損部へ入れ歯を作製されたものの、痛みが強く、日常的に使うことができなかったとのことでした。 その後、奥歯がない状態のまま過ごされていましたが、「このままでは噛みにくいので、しっかり治療したい」と考えられ、当院へご相談に来られました。 欠損部位は左下6番(第一大臼歯)でした。 第一大臼歯は食事の際に大きな力がかかる重要な奥歯です。失ったまま放置すると、反対側ばかりで噛む癖がついたり、周囲の歯へ負担が集中したりすることがあります。 来院の経緯|「入れ歯が痛くて使えない」ことがきっかけでした 患者様は、欠損部に対して一度入れ歯を作られていました。 しかし、装着時の痛みが強く、食事のときにも違和感があり、実際にはほとんど使えない状態だったそうです。 入れ歯が痛い場合、「我慢して使う」「使わずに放置する」という選択になってしまうことがあります。 しかし奥歯がない状態が続くと、噛む力のバランスが崩れ、他の歯や顎関節に負担がかかることがあります。 「入れ歯が痛い」「入れ歯が合わない」「噛めないまま放置している」という場合でも、治療の選択肢はあります。 インプラントが適応できるかどうかは、骨の状態・全身状態・噛み合わせを確認して判断します。 初診時の評価|左下6番欠損に対してCT・レントゲンで確認 初診時には、欠損部の歯ぐきの状態、周囲の歯の傾き、噛み合わせ、清掃状態を確認しました。 欠損期間が長くなると、隣の歯が傾いたり、噛み合わせの高さが変化したりすることがあります。 インプラント治療では、見た目だけでなく、骨の厚み・高さ・神経との距離・噛み合わせの力を確認することが重要です。 本症例でも、術前にレントゲン・CT評価を行い、安全に埋入できるかを検討しました。 初診時の口腔内写真(治療前) 左下6番の欠損により、噛みにくさが生じている状態でした。 欠損部を放置すると、反対側で噛む癖や、周囲歯への負担が増えることが懸念されます。 ▲ 治療前:左下奥歯の欠損部の状態 術前レントゲン・CT評価 インプラントを安全に行うためには、骨の状態だけでなく、下顎管と呼ばれる神経の位置を把握する必要があります。 本症例でも、術前に画像診査を行い、埋入位置・深さ・角度を計画しました。 ▲ 術前レントゲン・CT評価をもとに治療計画を立てます 治療方針|固定式でしっかり噛める状態を目指しました 左下6番の欠損に対して、固定式でしっかり噛める状態を目指し、インプラント治療を計画しました。 入れ歯が痛くて使えなかった背景も踏まえ、噛み合わせの負担配分や清掃性を意識しながら治療を進めました。 治療で重視したポイント 左下奥歯でしっかり噛める状態を回復する 隣の歯に余計な負担をかけにくい治療を選択する 神経との距離を確認し、安全性に配慮して埋入する 清掃しやすい補綴形態を目指す 長期安定のため、治療後のメンテナンスまで考える 治療の流れ|埋入からジルコニアクラウン装着まで ① インプラント埋入手術 術前計画に基づき、神経までの距離や骨幅を確認しながら、インプラントを埋入しました。 極力侵襲を少なくするために、歯肉はほとんど切開せずに行っています。 奥歯は噛む力が強くかかるため、位置・方向性を丁寧に調整することが重要です。 ▲ 埋入直後:傷口が目立ちにくい状態です ② 治癒期間|骨との結合を待ちます 埋入後は、インプラント体と骨が結合するまでの期間が必要です。 この期間中は、痛みや腫れ、噛み合わせの負担が偏っていないかを確認しながら経過を見ます。 安定が確認できた段階で、最終的な被せ物の製作へ進みます。 ③ 最終補綴|ジルコニアクラウンを装着 最終的に、インプラント上にジルコニアクラウンを装着しました。 噛める機能と自然な見た目を回復し、清掃しやすい形態になるよう配慮しています。 治療後も、長く良い状態を保つためには噛み合わせの確認と定期メンテナンスが重要です。 ▲ 最終補綴装着後:安定した噛み合わせを目指しました 術前後の比較|欠損部に固定式の歯が入り、噛みやすい状態へ 治療前は左下6番が欠損しており、噛みにくさや周囲歯への負担が懸念される状態でした。 治療後は固定式の被せ物が入り、奥歯で噛む機能の回復を目指せる状態になりました。 ▲ 治療前 → ジルコニアクラウン装着後 治療の詳細・費用・リスク 年齢・性別 60代・男性 主訴 入れ歯が痛くて使えず放置していたが、しっかり治療したい 診断 左下6番欠損 治療内容 左下6番インプラント埋入、ジルコニアクラウンによる補綴 治療期間 約3ヶ月半 治療費用 1本 約45万円(税別)※部位・骨の状態・補綴物により変動します リスク・副作用 ・術後の腫れ、痛み、内出血が生じることがあります。 ・神経や血管の位置によっては、埋入位置の調整が必要になる場合があります。 ・骨の状態によっては、追加処置や治癒期間の延長が必要になる場合があります。 ・清掃不良、喫煙、過度な咬合負荷などにより、インプラント周囲炎のリスクがあります。 ・長期安定のため、定期的なメンテナンスと咬合管理が必要です。 ・インプラント治療は保険適用外の自由診療です。 入れ歯が痛い方にインプラントが選択肢になる理由 入れ歯は、取り外しができる一方で、歯ぐきに当たって痛みが出たり、噛むと沈み込んで不安定に感じたりすることがあります。 特に奥歯の欠損では、噛む力が大きくかかるため、入れ歯の違和感や痛みが気になりやすいことがあります。 インプラントは、顎の骨に人工歯根を埋入し、その上に被せ物を装着する固定式の治療です。 適応できる場合には、入れ歯に比べて動きにくく、しっかり噛みやすい状態を目指せます。 インプラントが選択肢になりやすいケース 入れ歯が痛くて使えない 入れ歯が動いて噛みにくい 奥歯がなく、片側ばかりで噛んでいる ブリッジのために健康な歯を削りたくない 固定式の歯でしっかり噛みたい 欠損を放置していて、治療方法を相談したい ただし、インプラントはすべての方に適応できるわけではありません。 骨の量、全身状態、喫煙習慣、歯周病の有無、噛み合わせなどを総合的に確認する必要があります。 治療後に大切なメンテナンス|長く使うために必要です インプラントは虫歯にはなりませんが、インプラント周囲炎という歯周病に似たトラブルが起こることがあります。 周囲に汚れがたまり、炎症が進むと、支えている骨に影響することがあります。 そのため、治療後は定期的に噛み合わせや清掃状態を確認し、必要に応じて専門的なクリーニングを行うことが大切です。 治療後に確認するポイント インプラント周囲の歯ぐきに炎症がないか 被せ物の周囲に汚れが残っていないか 噛み合わせの力が強くかかりすぎていないか 隣の歯や反対側の歯に負担が出ていないか 歯ブラシ・歯間ブラシが適切に使えているか 歯ぐきの腫れ、出血、口臭、歯のぐらつきが気になる方は、 歯周病治療のページ もあわせてご覧ください。 当院より|入れ歯が痛い・噛めない状態を我慢しないでください 入れ歯が合わずに痛みが出ると、「もう仕方ない」と我慢してしまう方も少なくありません。 しかし奥歯がない状態が続くと、噛み合わせの偏りや周囲歯への負担が増え、お口全体のバランスが崩れやすくなります。 本症例では、左下6番の欠損に対してインプラント治療を行い、しっかり噛める機能の回復を目指しました。 結果として、固定式の歯が入り、日常の食事がしやすい状態へ改善しています。 「入れ歯が痛い」「噛めないのを我慢している」「奥歯を失ってそのままにしている」という方も、まずは一度ご相談ください。 骨の状態や噛み合わせを確認したうえで、インプラント・入れ歯・ブリッジなど、患者様に合った選択肢を一緒に考えていきます。 はやかわ歯科 小児矯正歯科について はやかわ歯科 小児矯正歯科は、京都府亀岡市古世町にある歯科医院です。 小児矯正・ マウスピース矯正・ インプラント・ 親知らずの抜歯・ 歯周病治療・ 予防メンテナンスまで、幅広いお口のお悩みに対応しています。 お子さまの歯並びや口呼吸、成人の矯正相談、入れ歯が合わない方のインプラント相談など、将来を見据えた治療計画をご提案します。 亀岡市・南丹市で入れ歯が痛い・噛めない方へ|インプラント相談 はやかわ歯科 小児矯正歯科では、CT検査やレントゲンをもとに、骨の状態・神経との距離・噛み合わせを確認し、インプラント治療が可能かどうかを診断します。 「これって治療できるの?」「他院で難しいと言われた」「入れ歯が痛くて使えない」という方も、お気軽にご相談ください。 〒621-0815 京都府亀岡市古世町芝原35-5|駐車場11台完備 関連ページ: インプラント治療 / 歯周病治療 / 親知らずの抜歯 ご相談・WEB予約はこちら 著者情報 院長 早川 倫正

お知らせ コラム

小児矯正と子どものマウスピース矯正|何歳から相談?

小児矯正と子どものマウスピース矯正|何歳から相談?治療の目安を解説(亀岡市・南丹市) こんにちは、亀岡市のはやかわ歯科 小児矯正歯科です。 当院でご相談が多いテーマのひとつが、小児矯正と子どものマウスピース矯正です。 「まだ乳歯だから様子見でいい?」「マウスピースでどこまで整う?」「何歳ごろに相談すればいい?」 このようなお悩みは、ネットの情報だけでは判断しにくいこともあります。 この記事では、実際のご相談で多い質問に沿って、小児矯正の考え方・相談時期・マウスピース矯正の目安をわかりやすく解説します。 小児矯正の詳しい流れや当院の考え方については、 小児矯正のページもあわせてご覧ください。 目次 まず知っておきたい:小児矯正は早めに相談する意味があります 子どものマウスピース矯正とは? よくある質問(Q&A) まとめ:相談のタイミングと当院の考え方 ▲ マウスピース矯正のイメージ まず知っておきたい:小児矯正は早めに相談する意味があります お子さんの歯並びは、歯だけで決まるものではありません。 あごの成長・舌の位置・唇の使い方・口呼吸・飲み込み方など、お口の使い方が歯並びや噛み合わせに関係することがあります。 そのため、「歯が全部生えそろってから考える」よりも、成長途中の段階で一度確認しておくことで、今できること・待った方がよいこと・将来的に必要になりそうな治療を整理しやすくなります。 初回チェックの目安 7〜11歳ごろに一度確認しておくと、方針を整理しやすい 今から介入した方がよいタイプか、もう少し成長を待つタイプかを判断しやすい 将来的に本格矯正が必要になりそうか、難易度がどの程度かを把握しやすい 大切なのは「今すぐ矯正を始めるか」ではなく、今のお口の状態を把握し、歯並びが乱れている原因を知ることです。 そのうえで「いつ・どこまで・何をするか」を一緒に整理していきます。 亀岡市・南丹市周辺でお子さまの歯並びや口呼吸、噛み合わせが気になる方は、 小児矯正のページも参考にしてください。 子どものマウスピース矯正とは? 子どものマウスピース矯正は、小児矯正の方法のひとつです。 透明な装置を使用し、歯並びや噛み合わせを成長に合わせて整えていくことを目指します。 特に乳歯と永久歯が混ざる時期(混合歯列期)では、あごの成長や歯の生えかわりを確認しながら、治療のタイミングを考えることが大切です。 子どもに向きやすい理由 見た目が目立ちにくいため、学校生活でも気になりにくい 取り外しができるため、食事や歯みがきがしやすい ワイヤー矯正と比べて、痛みや違和感が少なめに感じるケースがある 知っておきたいポイント マウスピース矯正は、取り外しができる反面、装着時間が不足すると計画通りに進みにくいという特徴があります。 つまり、成功のカギは装置の種類だけでなく、お子さんの生活の中で無理なく続けられるかどうかです。 大人のマウスピース矯正・インビザラインについて知りたい方は、 マウスピース矯正・インビザラインのページをご覧ください。 亀岡市の歯並び専門 症例や詳しい解説まで|はやかわ歯科 小児矯正歯科のInstagramはこちら よくある質問(Q&A) Q1. 子どものマウスピース矯正って、どんな治療ですか? A. 透明なマウスピース型の装置を使い、歯並びや噛み合わせを整えていく小児矯正の方法のひとつです。 目安としては6〜12歳ごろに相談される方が多く、成長や歯の生えかわりを確認しながら治療方針を決めていきます。 Q2. マウスピースで本当に整いますか? A. お子さんの歯並びの状態や成長段階によって、マウスピース矯正が適しているケースがあります。 ただし、すべての歯並びがマウスピースだけで対応できるわけではありません。 口呼吸・舌のクセ・飲み込み方・骨格的な要因なども関係するため、当院では歯だけでなくお口の使い方も確認しながら、安定しやすい治療方針を考えます。 Q3. 治療期間はどれくらいですか? A. ひとつの目安は8か月〜1年半程度ですが、歯並びの状態・成長段階・装着時間によって変わります。 成長段階によっては、すぐに歯を動かすよりも適切な時期を待った方が効率がよい場合もあります。 そのため、まずは診断を行い、開始時期も含めて計画を立てることが大切です。 Q4. どんな歯並びでもマウスピースで治せますか? A. 骨格的な問題が大きいケースや、あごの成長バランスに強い問題があるケースでは、マウスピース単独では難しいことがあります。 一方で、歯並びのガタガタ、前歯の傾き、軽度から中等度の噛み合わせの問題などでは、マウスピース矯正が選択肢になることがあります。 最終的な適応は、検査や診断を行ったうえで判断します。 Q5. 大人になっても歯並びはそのまま保てますか? A. 小児矯正だけで安定する方もいますが、歯は生活習慣や成長、噛み合わせの変化によって動くことがあります。 将来的に本格矯正が必要になるケースもありますが、早い段階で土台を整えておくことで、将来の矯正治療の難易度や負担を下げやすくなる場合があります。 Q6. 相談だけでも大丈夫ですか? A. はい。小児矯正は、相談したからすぐに治療開始というものではありません。 「今は経過観察でよいのか」「早めに対応した方がよいのか」「将来的にどんな治療が必要になりそうか」を整理することが大切です。 お子さまの歯並びや口呼吸、噛み合わせが気になる場合は、早めにご相談ください。 まとめ:相談のタイミングと当院の考え方 小児矯正や子どものマウスピース矯正は、見た目の歯並びを整えるだけでなく、噛み合わせ・磨きやすさ・お口の使い方・将来の治療リスクにも関係します。 ポイントのおさらい 目安として7〜11歳ごろに一度チェックしておくと方針を整理しやすい すぐ始めるかより、原因と治療方針を確認することが大切 マウスピース矯正は相性がよいお子さんもいるが、装着時間と生活習慣が重要 口呼吸・舌のクセ・飲み込み方も、歯並びや噛み合わせに関係することがある 小児矯正について詳しく知りたい方は、 小児矯正のページをご覧ください。 亀岡市・南丹市周辺で、お子さまの歯並び・口呼吸・噛み合わせが気になる方は、はやかわ歯科 小児矯正歯科までお気軽にご相談ください。 亀岡市・南丹市で小児矯正/子どものマウスピース矯正を相談したい方へ はやかわ歯科 小児矯正歯科では、お子さまの歯並びだけでなく、口呼吸・舌の位置・噛み合わせ・成長の状態も確認しながら、治療方針をご提案します。 「いつ相談すればいい?」「うちの子はマウスピース矯正ができる?」など、まずはお気軽にご相談ください。 〒621-0815 京都府亀岡市古世町芝原35-5|駐車場10台完備 関連ページ: 小児矯正 / マウスピース矯正・インビザライン ご相談・WEB予約はこちら 著者情報 院長 早川 倫正

お知らせ コラム

歯の治療に麻酔は必要?痛みが不安な方へ

< 歯の麻酔が不安な方へ|亀岡市で痛みに配慮した歯科治療を解説 こんにちは、はやかわ歯科 小児矯正歯科(亀岡市)です。 「麻酔が怖くて歯医者に行くのを先延ばしにしている」「注射の痛みが不安」「動悸やしびれが心配」という声は少なくありません。 歯科麻酔は、治療中の痛みを減らし、処置を落ち着いて進めるために大切な方法です。 このページでは、歯科で使う麻酔の種類・起こりうる反応・受診前後の注意点を、初めての方にもわかりやすく解説します。 親知らずの抜歯やむし歯治療、歯周病治療、インプラント治療などでは、処置内容に応じて麻酔を使用することがあります。 痛みや麻酔が不安な方も、事前に流れを知っておくことで、安心して相談しやすくなります。 目次 歯科麻酔はなぜ必要? 歯科で使う主な麻酔・鎮静法 麻酔後に起こりうる反応 麻酔が効きにくいと感じる要因 受診前に伝えるとよいこと 来院前後の過ごし方 よくある質問 まとめ ▲ 麻酔の流れを事前に知ることで、治療への不安を軽減しやすくなります 歯科麻酔はなぜ必要?|痛みを我慢しないことも大切です 歯科麻酔は、痛みの信号を一時的に感じにくくし、治療を進めやすくするために行います。 無理に痛みを我慢すると、体が緊張して治療時間が長引いたり、必要な処置が進めにくくなったりすることがあります。 そのため当院では、痛みへの配慮と丁寧な説明を大切にしながら、できるだけ安心して受診していただけるよう心がけています。 麻酔で期待できること 治療中の痛みや恐怖感を軽減しやすい 体の緊張を減らし、治療を受けやすくなる 歯科医師が処置に集中しやすく、治療の質を保ちやすい 「怖いから行けない」を「相談してみよう」に変えやすい 特に、親知らずの抜歯や インプラント治療などの外科処置では、麻酔への不安を事前に共有していただくことが大切です。 歯科で使う主な麻酔・鎮静法|それぞれの特徴を解説 1)表面麻酔(塗る麻酔) 表面麻酔は、歯ぐきにジェルやスプレーを塗って、針が入る瞬間の刺激を和らげる方法です。 注射そのものが苦手な方にとって、最初のハードルを下げるのに役立ちます。 当院でも、必要に応じて表面麻酔を併用し、できるだけ負担を抑える工夫を行います。 ▲ 表面麻酔にはさまざまな種類があります 2)局所麻酔(歯科で最も一般的な麻酔) 局所麻酔は、むし歯治療・抜歯・根管治療・歯周病治療など、幅広い処置で使われる基本的な麻酔です。 治療する歯の近くに麻酔薬を注入し、一定時間その部位の痛みを感じにくくします。 しびれの持続時間には個人差がありますが、数時間で落ち着くことが多いです。 3)笑気吸入鎮静法(緊張を和らげる方法) 笑気吸入鎮静法は、鼻から笑気ガスを吸入し、緊張を和らげることを目的とした鎮静法です。 痛みを直接消す麻酔というより、不安や緊張を軽くするサポートとして使われます。 ※当院では現在、笑気吸入鎮静法は実施していません。 4)静脈内鎮静法(うとうとした状態で処置を受ける方法) 静脈内鎮静法は、点滴で鎮静薬を用い、うとうとした状態で治療を受ける方法です。 長時間の外科処置や、強い歯科恐怖症がある場合などに選択されることがあります。 ※当院では、多数歯の外科処置など限られたケースを除き、通常診療では実施していません。必要に応じて、対応可能な医療機関をご案内する場合があります。 麻酔後に起こりうる反応|よくある反応と注意が必要な反応 麻酔に関する不安は、「何が起こりうるのか」を事前に知っておくことで軽くなることがあります。 多くは一時的で、時間とともに落ち着きますが、気になる症状がある場合は我慢せずご相談ください。 比較的みられることがある反応 唇・舌・頬のしびれ 注射部位の軽い違和感や内出血 一時的な動悸や手の震え 緊張・空腹・寝不足による気分不快 まれですが注意が必要な反応 発疹・かゆみ・息苦しさなどのアレルギー反応 脈拍や血圧の大きな変動 強いめまい、気分不快、意識が遠のく感じ 局所麻酔薬中毒などの重い反応 過去に歯科麻酔で気分が悪くなったことがある方、動悸が強く出たことがある方は、事前にお伝えください。 麻酔の効き方に差が出ることも|効きにくいと感じる要因 同じ方でも、炎症の強さ、緊張、睡眠不足、体調によって麻酔の効き方の感じ方は変わります。 特に、強い炎症がある場合や痛みが長く続いている場合は、麻酔が効きにくいと感じることがあります。 「以前、麻酔が効きにくかった」「途中で痛みが出た」という経験は、治療計画を立てるうえで大切な情報です。 当院では、必要に応じて麻酔方法を調整し、痛みの有無を確認しながら段階的に治療を進めます。 受診前に伝えると安全性が高まるポイント 麻酔を使用する可能性がある治療では、事前の問診がとても大切です。 以下に当てはまる場合は、予約時または診察時に必ずお伝えください。 問診で共有したい内容 過去に麻酔で気分不快や強い反応が出た経験 薬・食べ物・ラテックスなどのアレルギー歴 心疾患、不整脈、高血圧、ぜんそく、糖尿病などの既往 妊娠中・授乳中・妊娠の可能性 服用中の薬やサプリメント 血液をサラサラにする薬を飲んでいる場合 歯ぐきの腫れや出血、歯のぐらつきがある場合は、 歯周病治療のページもあわせてご覧ください。 早めの検査と定期的なメンテナンスは、将来の歯を守ることにつながります。 来院前後の過ごし方|不安を減らす実践ポイント 来院前の準備 予約時に「麻酔が不安」と事前に伝える 前日はできるだけ睡眠を確保し、体調を整える 強い空腹や過度なカフェイン摂取を避ける 服薬内容が分かるもの、お薬手帳などを持参する 過去に麻酔でつらかった経験があれば、遠慮なく伝える 麻酔後の注意点 しびれが残っている間は、唇や頬を噛まないよう注意する 熱い飲み物や食べ物は、やけどに注意する 治療内容によっては、麻酔が切れてから食事をとる 強い痛み、腫れ、息苦しさ、発疹などがある場合は早めに連絡する よくある質問(Q&A) Q. 麻酔の注射は必ず痛いですか? A. まったく無刺激とは言い切れませんが、表面麻酔・細い針・注入速度の調整などで、刺激を軽くしやすくなります。 注射が苦手な方は、事前にお伝えください。 Q. しびれはどのくらい続きますか? A. 処置内容や体質によって差がありますが、数時間程度が目安です。 長く続く場合や違和感が強い場合は、遠慮なくご相談ください。 Q. 動悸や手の震えが出ることはありますか? A. 緊張や麻酔薬の影響で、一時的に動悸や手の震えを感じることがあります。 多くは時間とともに落ち着きますが、心臓の病気や不整脈、高血圧などがある方は、事前に必ずお伝えください。 Q. 麻酔が怖くて治療を受けられるか不安です A. まずは「麻酔が怖い」「以前つらかった」と伝えていただくことが大切です。 当院では、いきなり治療を進めるのではなく、不安や体調を確認しながら、できるだけ無理のない形で進めます。 まとめ|麻酔が不安な方こそ、事前相談が大切です 歯科麻酔は、治療中の痛みを減らし、必要な処置を落ち着いて進めるための大切な方法です。 一方で、「注射が怖い」「しびれが不安」「動悸が心配」という気持ちがあるのも自然なことです。 大切なのは、不安を我慢したまま受診するのではなく、事前に不安や過去の経験を共有することです。 体調や既往歴、服用中のお薬を確認したうえで、できるだけ安心して治療を受けられるように進めていきます。 はやかわ歯科 小児矯正歯科について はやかわ歯科 小児矯正歯科は、京都府亀岡市古世町にある歯科医院です。 小児矯正・ マウスピース矯正・ インプラント・ 親知らずの抜歯・ 歯周病治療・ 予防メンテナンスまで、幅広いお口のお悩みに対応しています。 お子さまの歯並びや口呼吸、成人の矯正相談、入れ歯が合わない方のインプラント相談など、将来を見据えた治療計画をご提案します。 亀岡市・南丹市で歯科麻酔や治療の不安がある方へ はやかわ歯科 小児矯正歯科では、痛みへの配慮とわかりやすい説明を大切にしています。 「麻酔が怖くて受診を迷っている」「以前つらい経験があった」「親知らずやインプラントの治療が不安」という方も、まずはお気軽にご相談ください。 一人ひとりの体調や不安に合わせて、通いやすい治療方法を一緒に考えます。 〒621-0815 京都府亀岡市古世町芝原35-5|駐車場10台完備 関連ページ: 親知らずの抜歯 / インプラント治療 / 歯周病治療 ご相談・WEB予約はこちら 著者情報 院長 早川 倫正

お知らせ コラム

開咬とは?前歯が閉じない原因と小児矯正の相談目安|亀岡市

開咬(かいこう)とは?|前歯が閉じない原因と小児矯正の相談目安を解説(亀岡市) こんにちは、はやかわ歯科 小児矯正歯科(亀岡市)です。 「前歯が噛み合わず、すき間が空いている気がする」「奥歯は当たるのに前歯で噛み切りにくい」「口がぽかんとして唇が開きがち」――こうしたサインがあるときに疑われる不正咬合のひとつが開咬です。 開咬は見た目だけでなく、舌・唇・呼吸など“お口の使い方”が関係していることもあり、歯だけ整えても安定しにくいケースがあります。 このページでは、開咬の基本・原因・家庭での見守りポイント・小児矯正を相談する目安を分かりやすくまとめます。 お子さまの歯並び、口呼吸、舌の位置、噛み合わせが気になる方は、 小児矯正のページもあわせてご覧ください。 目次 開咬とは? 開咬になりやすい原因 家庭でできる見守りチェック 受診・相談の目安 よくある質問 まとめ ▲ 開咬は「歯並び」だけでなく、舌・唇・呼吸のクセが関係することがあります 開咬とは?|奥歯は当たるのに前歯が当たらない状態 開咬とは、噛んだときに奥歯は当たっているのに前歯が当たらず、上下の前歯の間にすき間が残る噛み合わせです。 見た目の問題だけでなく、食事・発音・口呼吸・奥歯への負担など、日常生活の中で困りごとにつながることがあります。 開咬で起こりやすい困りごと 前歯で噛み切りにくい 麺・お肉・野菜などが噛み切りにくい 口が乾きやすい、口呼吸になりやすい 発音が気になることがある 前歯が当たらない分、奥歯に負担が集まりやすい 唇が閉じにくく、口元に力が入りやすい 開咬は、単に「前歯が閉じていない」という見た目だけで判断するのではなく、なぜ前歯が閉じにくくなっているのかを確認することが大切です。 なぜ開咬になりやすい?|カギは舌の位置とお口のクセ 舌には本来、休んでいるときの定位置があります。 舌の位置が安定せず、低い位置にあったり、前に出やすかったりすると、前歯を内側から押す力が積み重なり、噛み合わせが開きやすくなることがあります。 特に多いのが、舌癖です。 舌が低い位置にある、飲み込むときに舌が前へ出る、前歯のすき間に舌を入れるといったクセがあると、開咬の原因や後戻りの要因になることがあります。 そのため開咬では、歯並びだけでなく、舌・唇・呼吸のクセをセットで見直すことが重要です。 小児矯正について詳しく知りたい方は、 小児矯正のページも参考にしてください。 開咬につながりやすいよくある原因 開咬は、原因がひとつだけとは限りません。 指しゃぶり、舌のクセ、口呼吸、歯の生えかわりなど、複数の要因が重なっていることもあります。 1)指しゃぶり・おしゃぶりが長く続く 指しゃぶりやおしゃぶりが長く続くと、前歯に力がかかり、上下の前歯が閉じにくくなることがあります。 無理に取り上げるより、安心できる代替方法を用意しながら、段階的に減らすほうが進めやすいこともあります。 2)舌のクセ 舌が低い位置にある、前歯のすき間に舌を入れる、飲み込むときに舌が前に出るといったクセがあると、歯が舌に押され続けることがあります。 その結果、前歯が閉じにくくなったり、矯正後に戻りやすくなったりする場合があります。 3)口呼吸・鼻づまりが続く 口が開いている時間が長いと、舌は上あごに置きにくくなります。 アレルギー性鼻炎などが背景にある場合もあるため、歯並びだけでなく呼吸の状態も確認することが大切です。 4)乳歯を早く失った、抜けたあとが長く空いた 乳歯が抜けたあと、永久歯がなかなか出てこない状態が続くと、すき間に舌を入れるクセがつくことがあります。 「抜けたのに全然出てこない」「いつまでもすき間が空いている」と感じる場合は、早めに確認しておくと安心です。 亀岡市の歯並び専門 症例や詳細について解説|はやかわ歯科 小児矯正歯科のInstagramはこちら 家庭でできること|まずは3つのチェックから 開咬が気になる場合でも、家庭で難しいトレーニングを完璧に行う必要はありません。 まずは、日常生活の中で次の3つを見守るだけでも、お子さまのお口の状態を把握しやすくなります。 見守りチェック 指しゃぶり・おしゃぶり:やめさせるより、時間帯を減らす・安心材料を用意するなど、減らし方を考える 口が開きやすい場面:テレビ中、車の中、ぼーっとしているときに口が開いていないか確認する 歯が抜けたあとや舌の位置:すき間に舌が入っていないか、永久歯がなかなか出てこない状態が続いていないか確認する 強く注意しすぎると、お子さまが緊張したり、かえって気にしすぎたりすることがあります。 まずは「気づいたらやさしく声をかける」くらいから始めると続けやすいです。 受診の目安|迷う段階こそ一度チェックが安心です 開咬は、早めに原因を整理することで、成長に合わせた選択肢を考えやすくなります。 次のようなサインがある場合は、一度ご相談ください。 相談の目安 前歯が噛んでも当たらず、すき間が続いている 指しゃぶり・おしゃぶりがなかなかやめられない 飲み込むときに舌が前に出る あごや口元に力が入っている 口がいつも開いている、口呼吸が気になる いびきや鼻づまりが気になる 乳歯が抜けたのに永久歯がなかなか出てこない 前歯で噛み切りにくい、発音が気になる 「今すぐ矯正が必要かどうか」だけでなく、今は経過観察でよいのか、早めに対応した方がよいのかを確認することが大切です。 お子さまの歯並びや口呼吸、舌の位置、噛み合わせが気になる方は、 小児矯正のページもあわせてご覧ください。 よくある質問(Q&A) Q. 開咬は成長で自然に治りますか? A. 成長とともに見え方が変わることはありますが、指しゃぶり・舌癖・口呼吸などの原因が続いている場合、自然に改善しにくいことがあります。 まずは、開咬の原因になりそうなクセや生活習慣があるかを確認することが大切です。 Q. 舌癖があると、矯正しても戻りやすいですか? A. 戻りやすくなる可能性があります。 歯の位置だけを整えても、舌が前歯を押すクセや口呼吸が残っていると、治療後の安定に影響することがあります。 そのため、舌の位置・飲み込み方・口の閉じ方も一緒に確認することが大切です。 Q. 乳歯が抜けたのに永久歯が出てきません。様子見でいいですか? A. 期間や部位によって判断が変わります。 すき間に舌が入りやすい場合や、長く生えてこない場合は、クセがつく前に一度確認しておくと安心です。 Q. 開咬はマウスピース矯正で治せますか? A. 歯並びや噛み合わせの状態、成長段階、舌や口呼吸のクセによって異なります。 マウスピース矯正が選択肢になる場合もありますが、すべての開咬に適応できるわけではありません。 大人のマウスピース矯正・インビザラインについては、 マウスピース矯正・インビザラインのページもご覧ください。 まとめ|開咬は歯並びだけでなく、お口の使い方も大切です 開咬は、前歯が閉じない噛み合わせのことで、前歯で噛み切りにくい、発音が気になる、口が開きやすいなどの困りごとにつながることがあります。 また、歯の位置だけでなく、舌の位置・飲み込み方・口呼吸・指しゃぶりなどのクセが関係していることもあります。 そのため、開咬が気になる場合は、歯並びだけを見るのではなく、成長段階やお口の使い方も含めて確認することが大切です。 亀岡市・南丹市周辺で小児矯正をご検討の方は、 小児矯正のページもあわせてご覧ください。 はやかわ歯科 小児矯正歯科について はやかわ歯科 小児矯正歯科は、京都府亀岡市古世町にある歯科医院です。 小児矯正・ マウスピース矯正・ インプラント・ 親知らずの抜歯・ 歯周病治療・ 予防メンテナンスまで、幅広いお口のお悩みに対応しています。 お子さまの歯並びや口呼吸、成人の矯正相談、入れ歯が合わない方のインプラント相談など、将来を見据えた治療計画をご提案します。 亀岡市・南丹市で「前歯が閉じない」「開咬が心配」な方へ はやかわ歯科 小児矯正歯科では、開咬を歯並びだけで判断せず、成長段階や舌・唇・呼吸の状態も含めて確認します。 「これって開咬?」「今のうちにできることはある?」「小児矯正を始めるべき?」という段階でも、お気軽にご相談ください。 お子さまの状態に合わせて、無理のない治療方針を一緒に考えていきます。 〒621-0815 京都府亀岡市古世町芝原35-5|駐車場10台完備 関連ページ: 小児矯正 / マウスピース矯正・インビザライン ご相談・WEB予約はこちら 著者情報 院長 早川 倫正

お知らせ コラム

歯をぶつけた・折れた・抜けた時の応急処置|亀岡市の歯医者が解説

歯をぶつけた・折れた・抜けた時の応急処置|亀岡市の歯医者が解説 こんにちは、はやかわ歯科 小児矯正歯科(亀岡市)です。 「スポーツ中に顔をぶつけて前歯がグラグラしている」「転んで口を打ち、歯が欠けた・折れた」「歯が抜けたけれど、どう持って行けばいいかわからない」――このような歯のケガ(外傷)は、突然起こることがあります。 歯の外傷は、見た目で分かるものもあれば、見た目では分からないのに歯の中や根の周囲でダメージが進むケースもあります。 このページでは、亀岡市・南丹市周辺で「歯をケガしたかも」と不安な方に向けて、応急処置の優先順位と、特に大切な歯が抜けた時の対応をわかりやすく解説します。 歯をぶつけた時は、痛みが少なくても早めの確認が大切です。 お子さまの歯のケガや、成長期の歯並び・噛み合わせが気になる方は、 小児矯正のページもあわせてご覧ください。 目次 歯のケガは見た目だけで判断しにくい まず最初にやること 歯が抜けた時の対応 永久歯が抜けた時の応急処置 乳歯が抜けた時の注意点 歯が折れた・欠けた・グラグラする時 受診の目安 よくある質問 まとめ ▲ 歯のケガは「最初の対応」で結果が変わることがあります 歯のケガは見た目だけで判断しにくい|痛くなくても検査が必要なことがあります 歯をぶつけた直後は、痛みが軽かったり、出血が落ち着いたりすると「もう大丈夫」と思いやすいです。 しかし、歯の外傷では、見た目では分かりにくいトラブルが隠れていることがあります。 見た目では分かりにくいトラブルの例 歯の根にヒビが入っている 歯の神経にダメージが出ている 歯が少し動いていて、噛む力で悪化しやすい 歯ぐきの中に歯が押し込まれている 数日〜数週間後に歯の色が変わってくる そのため、歯を強くぶつけた時は、痛みが少なくても念のため歯科で検査しておくことをおすすめします。 まず最初にやること|安全確認 → 止血 → 歯の状態チェック 1)全身の安全確認を最優先にする まず大切なのは、歯よりも全身の安全確認です。 意識がぼんやりする、吐き気がある、強い頭痛がある、顔面の大きな腫れがある、出血が止まらない場合は、歯科より先に救急・医科の受診を優先してください。 2)口の中の出血は圧迫する 口の中から出血している場合は、清潔なガーゼなどで出血している部分を数分間しっかり押さえるのが基本です。 出血部位を何度も確認しすぎると、血が止まりにくくなることがあります。 3)歯のケガのタイプを確認する 歯がグラグラしている 歯が欠けた、折れた 歯が抜けた 歯の位置がズレた 歯が歯ぐきの中に押し込まれたように見える この中でも、特に歯が抜けた場合は時間が重要です。 できるだけ早く、適切な方法で歯を保存し、歯科を受診してください。 歯が抜けた時|大切なのは乾かさないことです 歯が抜けた時に大切なのは、抜けた歯を乾燥させないことです。 抜けた歯の根の表面には、歯を支えるために重要な組織が残っています。これが乾燥すると、歯を戻せる可能性に影響することがあります。 そのため、抜けた歯をティッシュに包む、乾いたケースに入れる、ポケットに入れるといった保存方法は避けてください。 まずは「乾かさない」ことを最優先にしましょう。 永久歯が抜けた時の応急処置|できればこの順番で対応してください 永久歯が抜けた場合、対応が早いほど歯を残せる可能性につながります。 あわてやすい場面ですが、次の順番で落ち着いて対応してください。 1)抜けた歯を探す まずは抜けた歯を探してください。 歯が見つかれば、状態によっては治療に役立つことがあります。 2)持つ場所は歯の頭だけにする 抜けた歯を持つ時は、根っこではなく白く見える歯の頭の部分を持ってください。 根の部分を触ると、歯の根の表面に残った組織を傷つける可能性があります。 3)汚れている場合は、こすらず短時間で軽くすすぐ 砂や汚れがついている場合は、ゴシゴシ洗わず、短時間で軽くすすぐ程度にしてください。 歯ブラシでこする、消毒液につける、長時間水道水で洗うことは避けましょう。 4)可能であれば元の位置に戻す 本人が落ち着いていて、飲み込みの危険がなく、無理なくできる状況であれば、歯を元の位置に戻すことが選択肢になる場合があります。 ただし、怖い場合や難しい場合は無理に戻そうとせず、次の方法で保存してください。 5)戻せない場合は保存液や牛乳に入れる 歯の保存液があれば、保存液に入れる 保存液がない場合は、牛乳に入れる 牛乳がない場合は、生理食塩水に入れる 最終手段として、本人の口の中で保持する方法もありますが、小さなお子さまは誤飲の危険があるため注意が必要です 6)できるだけ早く歯科を受診する 抜けた歯は時間が重要です。 保存方法に迷う場合でも、乾燥させないようにして、できるだけ早く歯科へご連絡ください。 乳歯が抜けた時|基本的に自分で戻さないでください 乳歯が外傷で抜けた場合、基本的に自分で元の位置に戻すことはおすすめしません。 下で育っている永久歯に影響する可能性があるためです。 ただし、抜けた歯が乳歯なのか永久歯なのか判断が難しいこともあります。 迷った場合は、抜けた歯を乾かさずに持参し、早めに歯科で確認しましょう。 お子さまの歯の生えかわりや、歯並び・噛み合わせが心配な方は、 小児矯正のページも参考にしてください。 歯が折れた・欠けた・グラグラする時のポイント 歯が欠けた・折れた場合 歯の破片が見つかる場合は、乾燥させずに持参してください。 状態によっては、治療の参考になったり、接着を検討できたりする場合があります。 神経に近いところまで折れていると、後から痛みが強くなることもあります。 歯がグラグラしている場合 グラグラしている歯は、指や舌で何度も触らないようにしてください。 硬いものを噛むことも避け、早めに歯科で固定が必要かどうか確認することが大切です。 歯の位置がズレた場合 歯が飛び出した、押し込まれた、横にズレたように見える場合は、自分で無理に戻そうとしないでください。 レントゲンなどで状態を確認したうえで、適切な処置を判断する必要があります。 受診の目安|このような時は当日〜早めの確認がおすすめです 歯が抜けた 歯が折れた、欠けた 歯がグラグラしている 歯の位置がズレている ぶつけた歯の色が変わってきた 噛むと痛い 歯ぐきが腫れてきた 膿が出る 口が開けにくい、顔が腫れている、発熱がある 歯をぶつけた後に痛みや違和感が続く場合は、早めに歯科で確認しましょう。 歯ぐきの腫れや出血、歯のぐらつきが気になる場合は、 歯周病治療のページもあわせてご覧ください。 よくある質問(Q&A) Q. 抜けた歯をティッシュに包んで持って行ってもいいですか? A. ティッシュに包むと歯が乾燥しやすくなるため、おすすめできません。 歯の保存液、牛乳、生理食塩水などに入れて、乾かさないようにして持参してください。 Q. 抜けた歯に砂がついている場合、しっかり洗った方がいいですか? A. 強くこすると、歯の根の表面に残った組織を傷つけることがあります。 こすらず、短時間で軽くすすぐ程度にしてください。 Q. 乳歯か永久歯かわかりません。どうすればいいですか? A. 迷う場合は、抜けた歯を乾かさずに持参し、早めに歯科で確認してください。 乳歯は基本的に再植しませんが、永久歯との判断が難しいこともあります。 Q. 痛みがなければ受診しなくても大丈夫ですか? A. 痛みが少なくても、歯の根や神経にダメージがあることがあります。 歯の色の変化、噛んだ時の痛み、歯ぐきの腫れなどが後から出ることもあるため、強くぶつけた場合は一度確認しておくと安心です。 まとめ|歯をぶつけた・折れた・抜けた時は、早めの対応が大切です 歯のケガは、転倒やスポーツ、事故などで突然起こります。 特に歯が抜けた場合は、乾かさないこととできるだけ早く歯科を受診することが大切です。 また、歯が欠けた・折れた・グラグラしている場合も、見た目だけでは状態を判断できないことがあります。 「痛みが少ないから大丈夫」と自己判断せず、早めに検査を受けることで、将来のトラブルを防ぎやすくなります。 はやかわ歯科 小児矯正歯科について はやかわ歯科 小児矯正歯科は、京都府亀岡市古世町にある歯科医院です。 小児矯正・ マウスピース矯正・ インプラント・ 親知らずの抜歯・ 歯周病治療・ 予防メンテナンスまで、幅広いお口のお悩みに対応しています。 お子さまの歯並びや口呼吸、成人の矯正相談、入れ歯が合わない方のインプラント相談など、将来を見据えた治療計画をご提案します。 亀岡市・南丹市で歯をぶつけた・折れた・抜けた方へ 歯の外傷は、最初の対応と受診までの時間で結果が変わることがあります。 「これって歯のケガ?」「抜けた歯はどうしたらいい?」「痛みは少ないけれど診てもらうべき?」という段階でも、遠慮なくご相談ください。 状態を確認し、できるだけ歯を守るための方法を一緒に考えます。 〒621-0815 京都府亀岡市古世町芝原35-5|駐車場10台完備 関連ページ: 小児矯正 / 歯周病治療 / 親知らずの抜歯 / インプラント治療 ご相談・WEB予約はこちら 著者情報 院長 早川 倫正

お知らせ コラム

親知らず、抜いたほうがいい?痛くなる前のチェックと抜歯の目安

親知らず、抜いたほうがいい?|痛くなる前のチェックと抜歯の目安を解説(亀岡市) こんにちは、亀岡市のはやかわ歯科 小児矯正歯科です。 「親知らずって、結局抜くべき?」「今は痛くないけど放置して大丈夫?」「腫れたり痛くなったりする前に診てもらった方がいい?」 このようなご相談は、20〜30代の方を中心に多くいただきます。 親知らずは必ず抜くものではありませんが、生え方や位置によっては、将来的に痛み・腫れ・むし歯・歯周トラブルの原因になることがあります。 この記事では、親知らずの抜歯を検討するサイン・様子見でよいケース・受診の目安・抜歯後の注意点をわかりやすく解説します。 親知らずの痛み、腫れ、斜めに生えているかどうかが気になる方は、 親知らずの抜歯ページもあわせてご覧ください。 亀岡市・南丹市周辺で親知らずの抜歯や相談をご希望の方は、はやかわ歯科 小児矯正歯科までお気軽にご相談ください。 目次 まず知っておきたい|親知らずとは? 抜歯を検討したいサイン 画像でみる|抜歯を検討することがある例 様子見でもよい親知らず 放置すると起こりやすいこと 当院での確認ポイント 抜歯後の過ごし方 費用の目安 まとめ ▲ 親知らずは“生え方”や“清掃のしやすさ”で対応が変わります まず知っておきたい|親知らずは「第3大臼歯」。生え方に個人差があります 親知らずは、いちばん奥に生えてくる歯で、正式には第3大臼歯と呼ばれます。 まっすぐ生えてしっかり磨ける方もいれば、斜め・横向き・一部だけ出ている・歯ぐきの中に埋まっているなど、トラブルが起こりやすい生え方の方もいます。 また、親知らずがもともとない方や、生えてこない方もいます。 大切なのは、今痛いかどうかだけでなく、これから問題が起きやすい形かどうかを確認することです。 親知らずの状態は、見えている部分だけでは判断しにくいため、レントゲンなどで位置や向きを確認することが大切です。 チェックリスト|抜歯を検討したいサイン 次の項目にひとつでも当てはまる場合は、親知らずの状態を一度確認しておくのがおすすめです。 抜歯を検討することが多いケース 親知らずのまわりが腫れる・痛むことがある 腫れや痛みを繰り返している 親知らずが一部だけ出ていて、食べ物が詰まりやすい 歯ぐきが炎症を起こしやすい 親知らず、または手前の歯がむし歯になっている 斜め・横向きに生えていて、歯みがきが届きにくい 矯正治療や噛み合わせの管理で、将来的な影響が心配される レントゲンで周囲の骨や隣の歯への影響が疑われる 「腫れてから受診」になると、炎症が強い時期はすぐに抜歯できず、まず炎症を落ち着かせる必要が出ることもあります。 仕事・育児・妊娠予定・矯正治療の予定などがある方ほど、痛くなる前に相談しておくと安心です。 親知らずの痛みや腫れが気になる方は、 親知らずの抜歯ページをご確認ください。 画像でみる|こういう場合は抜歯を検討することがあります 親知らずは、痛みがあるかどうかだけで判断するものではありません。 親知らずの向き・深さ・周囲の炎症・手前の歯への影響・清掃のしやすさなどを確認したうえで、抜歯が必要かどうかを判断します。 抜歯を検討することがある例 斜め・横向きに生えて手前の歯を押している:7番の歯に負担がかかりやすい 一部だけ出ていて歯ぐきが腫れやすい:炎症を繰り返しやすい 奥すぎて磨きにくい:汚れが残りやすく、むし歯や歯周トラブルの原因になりやすい 矯正治療後や将来の管理で抜歯を検討する:噛み合わせ・後戻り・清掃性などを考慮する 手前の歯にむし歯リスクが出やすい:親知らずとの間に汚れがたまりやすい 画像でイメージ 斜め・横向きに生えて手前の歯を押している 一部だけ出ていて歯ぐきが腫れやすい 矯正治療後や将来の管理で抜歯を検討する もちろん、すべての親知らずが抜歯になるわけではありません。 まっすぐ生えていて問題なく使えている場合は、経過観察でよいこともあります。 大切なのは、今痛いかどうかだけでなく、今後トラブルを起こしやすい形かどうかを確認することです。 様子見でもよい親知らず|抜かなくてよいこともあります 親知らずは、必ず抜歯が必要なわけではありません。 次のような場合は、抜歯を急がず、定期的にチェックしながら経過をみる選択もあります。 経過観察になりやすいケース まっすぐ生えていて、上下の噛み合わせが安定している 歯ぐきが健康で、腫れや出血などの炎症がない 歯ブラシが届き、日常のケアができている レントゲン上、周囲に大きな問題が見当たらない 手前の歯に悪影響が出ていない 経過観察の場合でも、親知らずは奥にあるため汚れがたまりやすい場所です。 定期的な検査やクリーニングで、むし歯や歯ぐきの炎症を予防していくことが大切です。 放置すると起こりやすいこと|親知らずより隣の歯がダメージを受けることも 親知らずのトラブルで注意したいのは、親知らず自体だけでなく、手前の歯に影響が出ることです。 親知らずと手前の歯の間に汚れがたまると、見えにくい場所でむし歯や歯周トラブルが進むことがあります。 放置によって起こりやすいリスク 親知らず周囲の炎症を繰り返す 腫れや痛みで口が開けづらくなる 親知らずや手前の歯がむし歯になる 手前の歯の歯ぐきや骨に負担がかかる 炎症が強い時期に当たり、抜歯のタイミングが取りづらくなる 歯ぐきの腫れ、出血、口臭、歯のぐらつきが気になる方は、 歯周病治療のページもご覧ください。 早めの検査と定期メンテナンスで、将来の歯を守ることにつながります。 当院での確認ポイント|抜く・抜かないはレントゲンで判断します 親知らずは、見えている部分だけでは状態を判断しにくい歯です。 当院では、レントゲンなどで親知らずの位置や向きを確認し、できるだけ負担の少ない方針をご提案します。 主なチェック内容 親知らずの生え方 斜め・横向き・埋まっているかどうか 歯みがきが届くかどうか 炎症を繰り返していないか 親知らずや手前の歯にむし歯がないか 手前の歯や骨に影響が出ていないか 抜歯の難易度や紹介の必要性 親知らずの状態によっては、院内で対応できる場合と、専門医療機関へご紹介した方が安全な場合があります。 まずは検査を行い、無理のない治療方針を一緒に整理していきます。 親知らずの抜歯について詳しく知りたい方は、 親知らずの抜歯ページをご覧ください。 抜歯のリスクと術後の過ごし方|不安が多いところを先に説明します 親知らずの抜歯は、歯の位置・根の形・骨の状態・神経との距離などによって難易度が変わります。 ケースによっては、術後に腫れ・痛み・出血が出ることがあります。また、下の親知らずでは、まれにしびれなどのリスクが関係することもあります。 そのため、事前に画像で確認し、抜歯の必要性やリスク、術後の注意点を説明したうえで進めることが大切です。 術後は、処方薬の服用・安静・食事の工夫など、指示通りに過ごすことでトラブルを減らしやすくなります。 術後をラクにするコツ 当日は無理をせず、予定を詰め込みすぎない 強いうがいを避ける 飲酒・激しい運動・長風呂を控える 腫れが出やすい数日は、やわらかい食事にする 処方された薬は指示通りに服用する 強い痛みや出血が続く場合は早めに連絡する 費用の目安|親知らずの抜歯は保険適用が基本です 親知らずの抜歯は、保険診療の範囲で行われることが多いです。 ただし、まっすぐ生えている親知らずか、埋まっている親知らずか、横向きに生えている親知らずかによって、処置内容や費用、通院回数が変わることがあります。 必要な検査、レントゲン、お薬の有無なども含めて、事前にできるだけわかりやすくご案内します。 まとめ|今は痛くない親知らずこそ、一度チェックしておくと安心です 親知らずは、必ず抜かなければいけない歯ではありません。 しかし、斜め・横向き・一部だけ出ている・磨きにくいといった場合には、将来的に痛みや腫れ、むし歯、歯周トラブルの原因になることがあります。 大切なのは、痛くなってから慌てて判断するのではなく、落ち着いている時期に状態を確認しておくことです。 親知らずの痛み、腫れ、斜めに生えているかどうかが気になる方は、 親知らずの抜歯ページもあわせてご覧ください。 はやかわ歯科 小児矯正歯科について はやかわ歯科 小児矯正歯科は、京都府亀岡市古世町にある歯科医院です。 小児矯正・ マウスピース矯正・ インプラント・ 親知らずの抜歯・ 歯周病治療・ 予防メンテナンスまで、幅広いお口のお悩みに対応しています。 お子さまの歯並びや口呼吸、成人の矯正相談、入れ歯が合わない方のインプラント相談など、将来を見据えた治療計画をご提案します。 亀岡市・南丹市で親知らずの痛み・腫れ・抜歯相談をご希望の方へ 親知らずは、トラブルが起きてから慌てるより、落ち着いている時期に方針を決めるほうが安心なこともあります。 「抜くべき?」「様子見でいい?」「矯正や妊娠・仕事の予定との兼ね合いが心配」など、気になることがあればお気軽にご相談ください。 親知らずの生え方や生活スタイルに合わせて、無理のない選択を一緒に考えます。 〒621-0815 京都府亀岡市古世町芝原35-5|駐車場10台完備 関連ページ: 親知らずの抜歯 / 歯周病治療 / 小児矯正 / マウスピース矯正・インビザライン ご相談・WEB予約はこちら 著者情報 院長 早川 倫正

お知らせ コラム

乳歯のすきっ歯は大丈夫?生え替わり前の歯並びサイン|亀岡市

乳歯のすきっ歯は大丈夫?|生え替わり前に知りたい歯並びのサイン(亀岡市) こんにちは、亀岡市のはやかわ歯科 小児矯正歯科です。 「乳歯はきれいに並んでいたのに、永久歯に生え替わったら前歯がガタガタしてきた」「急にすきっ歯になって心配」「5歳になっても乳歯がギュッと詰まっている」――こうしたご相談は少なくありません。 見た目だけだと「すきっ歯=悪い」と感じやすいですが、乳歯の時期のすき間は、実は永久歯が並ぶためのスペースになることがあります。 このページでは、乳歯のすき間の意味・生え替わり期の見守りポイント・小児矯正を相談する目安をわかりやすく解説します。 お子さまの歯並び、口呼吸、舌の位置、噛み合わせが気になる方は、 小児矯正のページもあわせてご覧ください。 亀岡市・南丹市周辺で小児矯正をご検討の方は、はやかわ歯科 小児矯正歯科までお気軽にご相談ください。 目次 乳歯のすき間は異常? すき間が出やすい時期 すき間がない乳歯列はどう見る? 永久歯の前歯がガタつきやすい理由 すき間とむし歯リスク 家庭でできる見守りポイント 受診・相談の目安 よくある質問 当院の方針 まとめ ▲ 乳歯のすき間は「永久歯が並ぶスペース」になることがあります すきっ歯=異常ではありません|乳歯のすき間は永久歯のための余白です 乳歯列、つまり乳歯が全部そろった状態は、だいたい2歳半〜3歳ごろに完成します。 その後、体の成長と同じように、あごも少しずつ大きくなっていきます。 あごが成長すると、以前はぴったり並んでいた乳歯の間に、少しずつすき間ができることがあります。 このすき間は、言い換えると次に生えてくる永久歯のためのスペース確保です。 永久歯、特に前歯は乳歯よりもサイズが大きいため、乳歯の時点である程度の余白がある方が、永久歯が並ぶ土台として有利になることがあります。 いつ頃からすき間が出やすい?|4〜6歳はあごが育つ時期です 乳歯のすき間は、突然大きく開くというより、あごの成長に合わせて少しずつ出てくることが多いです。 目安としては、4〜6歳ごろに前歯の間や犬歯の周りに変化が見られることがあります。 この時期のすき間は、成長のひとつのサインと考えられることもあります。 そのため、見た目だけで「歯並びが悪くなった」と決めつける必要はありません。 すき間がない乳歯列はどう?|将来のガタつきにつながることもあります 反対に、5〜6歳になっても乳歯がびっしり詰まっている場合、永久歯が生えるスペースが足りず、前歯がねじれたり重なったりして見えることがあります。 ただし、すき間がない=必ず矯正が必要というわけではありません。 あごがもう少し育って整うタイプ、生え替わりの順番や角度で一時的にガタつくタイプ、スペース不足が強く早めの介入が有利なタイプなど、背景はさまざまです。 生え替わり期は、見た目の印象だけでなく、あごの大きさ・歯のサイズ・生える順番・口呼吸や舌の癖をセットで確認することが大切です。 小児矯正について詳しく知りたい方は、 小児矯正のページも参考にしてください。 永久歯の前歯がガタつきやすい理由|生え替わり直後に起こりやすい3つ 1)永久歯が乳歯より大きい 永久歯は乳歯より大きいため、最初からスペースが足りないと、歯が並ぶ場所を取り合うようになり、重なって見えやすくなります。 2)生える角度や順番に個人差がある 同じ年齢でも、歯が生えるタイミングや傾きには個人差があります。 そのため、生えたての時期は一時的に凸凹に見えることがあります。 3)口呼吸や舌の位置などの癖が関係する 口呼吸、舌の位置、唇の力、姿勢、やわらかい食事が多い生活などが重なると、あごの成長や歯列の安定に影響することがあります。 お子さまの口呼吸、舌の位置、噛み合わせが気になる方は、 小児矯正のページもあわせてご覧ください。 亀岡市の歯並び相談|はやかわ歯科 小児矯正歯科のInstagramはこちら すき間がある子は安心?|むし歯リスクは上がることもあります 乳歯のすき間は、永久歯が並ぶスペースとして良い面があります。 一方で、食べ物がはさまりやすく、磨き残しが出やすいこともあります。 そのため、すき間が出てきたら「歯並びは安心」と終わらせず、むし歯予防とセットで見守ることが大切です。 仕上げみがきやフロス、定期的な歯科検診で、むし歯を防ぎながら生え替わりを見守りましょう。 家庭でできる見守りポイント|チェックは3つでOK 毎日細かく観察しすぎる必要はありません。 次の3つを意識しておくと、生え替わり期の変化に気づきやすくなります。 見守りチェック すき間の変化:ゆっくり広がる場合は成長の範囲のこともあります。急な変化は相談の目安です 生え替わりの順番と左右差:極端な左右差、乳歯が抜けない、永久歯が出てこない状態が続く場合は確認しましょう 癖のサイン:口が開きっぱなし、舌が前に出る、口呼吸がある場合は早めの確認がおすすめです ▲ 噛み合わせが逆の場合などは、早めに確認した方がよいことがあります 受診の目安|すきっ歯よりも、こういう状況があれば相談がおすすめです 乳歯のすき間そのものは、成長の範囲として見守れることもあります。 ただし、次のような場合は一度チェックしておくと安心です。 相談の目安 5〜6歳になっても乳歯がぎゅうぎゅうで、すき間がほとんどない 永久歯が内側や外側から二重に生えてきた 前歯が閉じにくい 噛み合わせが深い、または反対に当たっている いつも口が開いている、口呼吸が気になる 舌の癖が気になる 前歯のすき間が急に大きくなった 転倒後に歯並びや噛み合わせが変わった むし歯や、乳歯を早く失った経験がある 「今すぐ矯正が必要かどうか」ではなく、今は見守りでよいのか、早めに対応した方がよいのかを整理することが大切です。 亀岡市・南丹市周辺で小児矯正をご検討の方は、 小児矯正のページをご覧ください。 よくある質問(Q&A) Q. 乳歯の前歯がすきっ歯になりました。放っておいていいですか? A. 多くは成長に伴う自然な変化です。 ただし、すき間の広がり方、むし歯、癖、生え替わりの状態によっては確認が必要なこともあります。定期検診で確認しておくと安心です。 Q. すき間がないと必ず歯並びが悪くなりますか? A. 必ずではありませんが、永久歯が並ぶスペースが足りなくなる可能性はあります。 あごの成長や生え替わりの進み方によって判断が変わるため、早めに状態を確認しておくと方針を立てやすくなります。 Q. 永久歯の前歯がガタガタです。今すぐ矯正が必要ですか? A. 生えたての時期は、一時的に乱れて見えることもあります。 まずはスペース、あごの成長、舌や口呼吸などの癖を確認し、見守りでよいのか、今から対応した方がよいのかを整理するのがおすすめです。 Q. 小児矯正は何歳ごろに相談すればいいですか? A. 歯並びや噛み合わせが気になる場合は、7〜11歳ごろに一度確認しておくと方針を整理しやすいです。 ただし、反対咬合、開咬、口呼吸、舌の癖などがある場合は、もう少し早めに相談した方がよいこともあります。 当院の方針|すきっ歯だけでなく、成長と噛み合わせを一緒に確認します はやかわ歯科 小児矯正歯科では、乳歯のすき間だけで矯正の必要性を判断することはありません。 生え替わりのタイミング、あごの成長、歯のサイズ、舌や口呼吸などの癖を確認しながら、今後のリスクをわかりやすく整理します。 大切にしていること すき間の量、あごの大きさ、歯のサイズバランスを確認する 口呼吸、舌の癖、姿勢など、歯並びに関わる要因も確認する むし歯予防とセットで、生え替わりを見守る 必要に応じて、マイオブレースやマウスピース矯正など成長期の選択肢を検討する お子さまの歯並びや口呼吸、舌の位置、噛み合わせが気になる方は、 小児矯正のページもあわせてご覧ください。 まとめ|乳歯のすきっ歯は、永久歯の準備として大切なサインです 乳歯のすき間は、必ずしも悪いものではありません。 むしろ、永久歯が並ぶためのスペースとして役立つことがあります。 一方で、5〜6歳になってもすき間がほとんどない、永久歯が二重に生えてきた、口呼吸や舌の癖がある、噛み合わせが気になるといった場合は、一度確認しておくと安心です。 亀岡市・南丹市周辺で、お子さまの歯並び・生え替わり・口呼吸・噛み合わせが気になる方は、 小児矯正のページをご覧ください。 はやかわ歯科 小児矯正歯科について はやかわ歯科 小児矯正歯科は、京都府亀岡市古世町にある歯科医院です。 小児矯正・ マウスピース矯正・ インプラント・ 親知らずの抜歯・ 歯周病治療・ 予防メンテナンスまで、幅広いお口のお悩みに対応しています。 お子さまの歯並びや口呼吸、成人の矯正相談、入れ歯が合わない方のインプラント相談など、将来を見据えた治療計画をご提案します。 亀岡市・南丹市で乳歯のすきっ歯・生え替わりが気になる方へ 乳歯のすき間は、永久歯が並ぶための余白になることがあります。 一方で、すき間が少ないまま生え替わりが始まると、前歯が重なって見えることもあります。 「このくらいなら大丈夫?」「小児矯正を始めるべき?」と迷う段階ほど、早めのチェックで方針を整理しやすくなります。 関連ページ: 小児矯正 / マウスピース矯正・インビザライン 〒621-0815 京都府亀岡市古世町芝原35-5|駐車場10台完備 ご相談・WEB予約はこちら 著者情報 院長 早川 倫正

お知らせ コラム

大人のむし歯は気づきにくい?再発しやすい原因と予防|亀岡市

大人のむし歯は気づきにくい?|治した歯がまた悪くなる原因と予防のポイント(亀岡市) こんにちは、亀岡市のはやかわ歯科 小児矯正歯科です。 「忙しくて自分の歯科受診が後回しになっている」「冷たいものがしみるけど様子を見ている」「治療した歯の周りが黒っぽい気がする」――このようなお悩みは少なくありません。 大人のむし歯は、子どものむし歯とは違い、治療した歯の周り・歯ぐきのキワ・根元など、気づきにくい場所で進むことがあります。 このページでは、大人のむし歯の特徴・見逃しやすいサイン・再発予防のポイントを、亀岡市・南丹市周辺で歯医者をお探しの方にもわかりやすく解説します。 歯のしみる症状、詰め物・被せ物の周りの変色、歯ぐきの下がりが気になる方は、早めの確認が大切です。 歯ぐきの腫れや出血、歯のぐらつきがある方は、 歯周病治療のページもあわせてご覧ください。 目次 大人のむし歯はなぜ増えやすい? 見逃しやすいサイン 歯の根元のむし歯 詰め物・被せ物の周りのむし歯 治療後に再発を防ぐポイント よくある質問 当院の方針 まとめ ▲ 「しみる」「挟まる」「境目が黒い」など小さな変化がサインになることがあります 大人のむし歯はなぜ増えやすい?|子どもとはできやすい場所が違います 子どものむし歯は、磨き残しや食習慣が中心になりやすい一方で、大人のむし歯は過去の治療歴や歯ぐきの変化が影響しやすくなります。 特に注意したいのは、治療した歯の周りと歯ぐきのキワ・根元です。 一度治療した歯でも、詰め物や被せ物の境目に汚れがたまると、再びむし歯になることがあります。これを二次う蝕といいます。 大人に多いむし歯の落とし穴 詰め物・被せ物の境目に汚れがたまりやすい 歯ぐきが下がり、歯の根元が露出しやすい 仕事・育児・介護などで、自分の通院が後回しになりやすい 痛みが出にくく、気づいた時には範囲が広いことがある 治療した歯ほど「もう大丈夫」と思い、確認が遅れやすい 大人のむし歯は、単に削って治すだけでなく、なぜむし歯になったのか、なぜ再発したのかを確認することが大切です。 こんな変化があったら歯科へ|見逃しやすいサインチェック むし歯は「痛くなったら確定」というものではありません。 初期の段階では強い痛みがないこともあり、小さな違和感や見た目の変化がサインになることがあります。 早めに確認したいチェックポイント 冷たいものや甘いものがしみる 歯の色が濃く見える、黒い影がある 詰め物の周りが変色している 詰め物や被せ物が欠けている 被せ物のキワが黒っぽい 食べ物が挟まりやすくなった 歯が尖って舌に引っかかる 頬や舌を噛みやすくなった 早い段階で確認できるほど、治療の負担を抑えやすくなる場合があります。 「少ししみるだけ」「見た目が少し気になるだけ」という段階でも、早めのチェックがおすすめです。 大人に多いむし歯タイプ1|歯の根元のむし歯 歯周病や加齢、強すぎるブラッシングなどで歯ぐきが下がると、これまで歯ぐきに隠れていた歯の根元が露出することがあります。 歯の根元は、歯の頭の部分よりもむし歯に弱く、歯ぐきのキワに汚れがたまりやすいため、気づかないうちに進行することがあります。 特に、歯ぐきが下がってきた方、歯の根元がしみる方、歯と歯ぐきの境目が黒っぽく見える方は注意が必要です。 根元のむし歯を防ぐポイント 歯ぐきのキワをやさしく丁寧に磨く 強くこすりすぎない フッ素入り歯みがき剤を活用する フロスや歯間ブラシを使い分ける 歯ぐきの状態を定期的にチェックする 歯ぐきの下がり、出血、口臭、歯のぐらつきが気になる方は、 歯周病治療のページをご覧ください。 歯周病の管理は、根元のむし歯予防にもつながります。 ▲ 大人のむし歯は、根元や治療した歯の周りにできることがあります 大人に多いむし歯タイプ2|詰め物・被せ物の周りのむし歯 「治療したのに、またむし歯?」と感じやすいのが、詰め物・被せ物の周りにできるむし歯です。 一度治療した歯でも、詰め物や被せ物の境目にわずかな段差やすき間ができると、そこに汚れがたまりやすくなります。 その状態が続くと、外から見えにくい場所でむし歯が進むことがあります。 特に、詰め物の周りが黒い、被せ物のキワが気になる、食べ物が挟まりやすくなったという場合は、早めに確認しましょう。 二次う蝕が厄介な理由 外から見えにくい 痛みが出にくいことがある 気づいた時に範囲が広いことがある 詰め物・被せ物のやり直しが必要になることがある 神経の治療が必要になる場合もある 大人のむし歯予防では、治療した歯こそ定期的に確認することが大切です。 大人のむし歯予防は治療のあとからが大切です むし歯を治したら終わりではありません。 大切なのは、再発しにくい口内環境をつくることです。 「毎日磨いているつもり」でも、汚れが残りやすい場所は人によって違います。 詰め物の境目、歯ぐきのキワ、歯と歯の間など、自分にとって弱い場所を知ることで、予防の精度を上げやすくなります。 続けやすい予防のポイント 定期メンテナンスで、詰め物・被せ物のキワを確認する 歯ぐきのキワや根元の磨き方を調整する 歯ブラシ・フロス・歯間ブラシを使い分ける フッ素入り歯みがき剤を上手に使う 間食や甘い飲み物の回数を見直す しみる・挟まる・黒いなどの変化を放置しない むし歯だけでなく、歯ぐきの状態も一緒に確認しておくことで、将来の歯を守りやすくなります。 歯ぐきの腫れや出血が気になる方は、 歯周病治療のページもご確認ください。 よくある質問(Q&A) Q. しみるけど、放っておけば治りますか? A. しみる原因は、むし歯以外にも知覚過敏や歯ぐきの下がりなどがあります。 ただし、初期のむし歯のサインであることもあるため、続く場合は一度確認しておくと安心です。 Q. 治療した歯でも、またむし歯になりますか? A. なります。 特に、詰め物や被せ物の境目は汚れがたまりやすく、二次う蝕が起こることがあります。定期検診でのチェックが大切です。 Q. 痛くないのにむし歯のことはありますか? A. あります。 大人のむし歯は静かに進むこともあり、痛みが出るころには範囲が広がっている場合もあります。黒い影、詰め物の変色、食べ物が挟まりやすいなどの変化があれば早めにご相談ください。 Q. 根元のむし歯は普通のむし歯と違いますか? A. 根元のむし歯は、歯ぐきが下がって露出した部分にできやすいむし歯です。 歯の根元はむし歯に弱いため、歯ぐきの状態や磨き方を含めて確認することが大切です。 当院の方針|削って終わりではなく、再発予防まで考えます はやかわ歯科 小児矯正歯科では、大人のむし歯治療でも削って終わりではなく、なぜむし歯になったのかを一緒に確認することを大切にしています。 むし歯は、治療後の口内環境が変わらないと、同じ場所で繰り返しやすいからです。 大切にしていること 再発しやすい部位を確認する 詰め物・被せ物の境目を定期的に確認する 歯ぐきのキワや根元のリスクを確認する 生活リズムに合わせた、続けやすいケアをご提案する 定期メンテナンスで、むし歯と歯ぐきを一緒に管理する 小さな違和感の段階で相談できるほど、結果的に治療の負担を抑えやすくなります。 亀岡市・南丹市周辺で歯医者をお探しの方は、早めにご相談ください。 まとめ|大人のむし歯は、早めの確認と再発予防が大切です 大人のむし歯は、治療した歯の周り、詰め物・被せ物の境目、歯ぐきのキワ、歯の根元など、気づきにくい場所で進むことがあります。 「しみる」「黒く見える」「食べ物が挟まりやすい」「詰め物の周りが気になる」といった小さな変化は、早めに確認しておきたいサインです。 痛くなってからではなく、違和感の段階で相談することで、治療の負担を抑えやすくなる場合があります。 歯ぐきの腫れ、出血、口臭、歯のぐらつきが気になる方は、 歯周病治療のページもご覧ください。 むし歯と歯ぐきの状態を一緒に確認し、将来の歯を守っていきましょう。 はやかわ歯科 小児矯正歯科について はやかわ歯科 小児矯正歯科は、京都府亀岡市古世町にある歯科医院です。 小児矯正・ マウスピース矯正・ インプラント・ 親知らずの抜歯・ 歯周病治療・ 予防メンテナンスまで、幅広いお口のお悩みに対応しています。 お子さまの歯並びや口呼吸、成人の矯正相談、入れ歯が合わない方のインプラント相談など、将来を見据えた治療計画をご提案します。 亀岡市・南丹市で大人のむし歯が気になる方へ 大人のむし歯は、できやすい・気づきにくい・治した歯の周りで起こりやすいのが特徴です。 「しみる」「色が濃くなった」「詰め物の周りが気になる」「食べ物が挟まりやすい」など、些細な変化こそ見逃さないことが大切です。 「このくらいなら大丈夫かな」と思うタイミングほど、早めのチェックが安心につながります。 〒621-0815 京都府亀岡市古世町芝原35-5|駐車場10台完備 関連ページ: 歯周病治療 / 親知らずの抜歯 / インプラント治療 ご相談・WEB予約はこちら 著者情報 院長 早川 倫正

hayakawa dentalclinic
0771-25-2522 WEB予約 instagram

歯並び相談専用の予約フォーム