目次
- 1 前歯が折れて膿がたまったケースに対するインプラント治療|亀岡市の症例紹介
- 1.1 症例の概要|前歯の破折と根の先の膿によるインプラント治療
- 1.2 初診時の状態|前歯の歯ぐきに腫れとできものが見られました
- 1.3 レントゲンで確認したこと|根の先に膿がたまり、骨が吸収されていました
- 1.4 治療の流れ|感染除去からインプラント補綴まで段階的に進めました
- 1.5 歯ぐきの移植を行った理由|清掃性・審美性・長期安定のために
- 1.6 最終補綴物の装着|自然な見た目と噛み心地を回復
- 1.7 治療の詳細・費用・リスク
- 1.8 インプラント後のメンテナンス|長く安定させるために大切です
- 1.9 当院より|感染除去と歯ぐきの補強を組み合わせた前歯のインプラント治療
- 1.10 はやかわ歯科 小児矯正歯科について
- 1.11 亀岡市・南丹市で前歯のインプラント治療をご相談されたい方へ
- 2 著者情報
前歯が折れて膿がたまったケースに対するインプラント治療|亀岡市の症例紹介
こんにちは、亀岡市のはやかわ歯科 小児矯正歯科です。
今回は、前歯が折れてしまい、根の先に大きな膿がたまり、周囲の骨が失われていた症例に対して、インプラント治療を行ったケースをご紹介します。
前歯は見た目の印象に大きく関わるだけでなく、噛み合わせや発音にも関係する大切な部位です。
感染源を取り除き、見た目と機能の両方を回復するため、抜歯・嚢胞摘出・インプラント埋入・歯ぐきの移植・セラミック補綴を組み合わせて治療を行いました。
前歯を失った場合の治療方法や、入れ歯が合わない・噛みにくいことでお悩みの方は、
インプラント治療のページもあわせてご覧ください。
当院ではCT検査をもとに、骨の状態や噛み合わせ、清掃性を確認したうえで治療計画をご提案します。
症例の概要|前歯の破折と根の先の膿によるインプラント治療
患者様は、「右上の前歯が腫れてきた」「歯ぐきにできものができて痛い」という主訴で来院されました。
診査の結果、前歯が根の内部で破折しており、細菌感染によって根の先に膿がたまっている状態でした。
感染が長く続くと、歯の周囲の骨が吸収され、隣の歯や将来的な治療にも影響することがあります。
今回は、歯の保存が難しい状態であったため、感染源を取り除いたうえで、前歯部の見た目と噛む機能を回復する目的で
インプラント治療
を行いました。
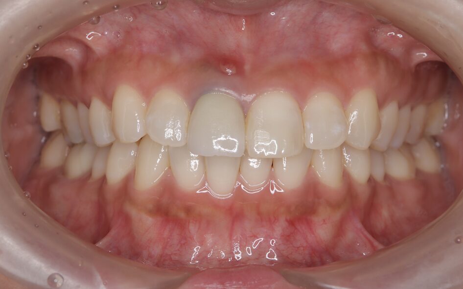
初診時の状態|前歯の歯ぐきに腫れとできものが見られました
初診時、右上の前歯周囲には炎症による腫れが見られました。
歯の根の中で破折が起こり、そこから細菌が侵入したことで、根の先に膿がたまっている状態でした。
このような状態を放置すると、痛みや腫れを繰り返すだけでなく、周囲の骨がさらに吸収され、治療の選択肢が狭くなる可能性があります。

初診時の口腔内写真①

初診時の口腔内写真②
レントゲンで確認したこと|根の先に膿がたまり、骨が吸収されていました
レントゲンでは、歯の根の先に膿がたまっており、周囲の骨が大きく吸収されている状態が確認されました。
感染した歯をそのまま残すと、周囲の健康な歯や骨にも悪影響を及ぼすおそれがあります。
そのため、感染源となっている歯を抜歯し、根の先にたまった膿の袋を取り除いたうえで、将来的なインプラント治療に向けて骨と歯ぐきの状態を整える方針としました。

治療の流れ|感染除去からインプラント補綴まで段階的に進めました
① 抜歯と嚢胞の摘出
まず、感染源となっている歯を丁寧に抜歯し、根の先にたまった嚢胞、つまり膿の袋を摘出しました。
感染した組織を取り除くことで、インプラント治療に向けて清潔な環境を整えます。

② インプラント埋入手術
抜歯後の治癒期間を経て、骨の状態を確認しながらインプラントを適切な位置と角度に埋入しました。
前歯部は見た目に大きく関わる部位のため、インプラントの位置・角度・歯ぐきの厚みを慎重に考える必要があります。
治療期間中は仮歯を使用し、見た目や日常生活への影響をできるだけ抑えながら進めました。

歯ぐきの移植を行った理由|清掃性・審美性・長期安定のために
今回の症例では、感染により骨や歯ぐきの一部が失われていました。
そのため、インプラント周囲の歯ぐきの厚みと形を整える目的で、結合組織移植術を行いました。
前歯のインプラントでは、ただ噛めるだけでなく、自然な見た目や清掃しやすさも重要です。
歯ぐきに厚みを持たせることで、見た目の調和を図り、インプラント周囲を長期的に安定させやすくなります。

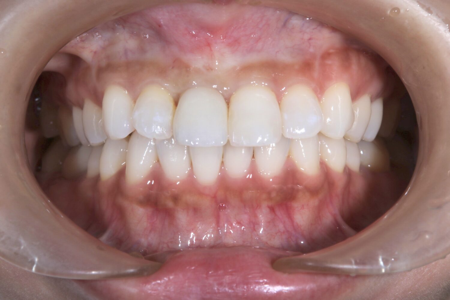
最終補綴物の装着|自然な見た目と噛み心地を回復
治療期間中は仮歯を装着し、歯の形・色・歯ぐきとの調和・噛み合わせを確認しながら調整しました。
最終的に、インプラント上にセラミッククラウンを装着し、前歯としての見た目と機能の回復を図りました。

術前後の比較

前歯のインプラント治療について詳しく知りたい方は、 インプラント治療のページ もご覧ください。
治療の詳細・費用・リスク
| 患者様の年齢・性別 | 30代・女性 |
|---|---|
| 主訴 | 前歯が腫れて痛い・歯ぐきにできものができた |
| 診断 | 前歯の歯根破折による慢性根尖性歯周炎 |
| 治療内容 | 抜歯、嚢胞摘出、インプラント埋入、結合組織移植術、セラミック補綴 |
| 治療期間 | 約10ヶ月 |
| 治療費用 | 約60万円(税別) |
| リスク・副作用 |
・定期的なメンテナンスを怠ると、インプラント周囲炎を起こすリスクがあります。 ・骨や歯ぐきの状態によっては、骨造成や治癒期間が長く必要となる場合があります。 ・外科処置後に腫れ、痛み、内出血、違和感が出ることがあります。 ・インプラント治療は保険適用外の自由診療です。 ・治療結果には個人差があります。 |
インプラント後のメンテナンス|長く安定させるために大切です
インプラントは、治療が終わったら一生何もしなくてよいものではありません。
天然歯と同じように、毎日のセルフケアと定期メンテナンスが必要です。
特にインプラント周囲に汚れが残ると、インプラント周囲炎を起こすリスクがあります。
インプラント周囲炎が進行すると、周囲の骨が失われ、インプラントの安定に影響することがあります。
メンテナンスで確認すること
- インプラント周囲の歯ぐきの状態
- 出血や腫れの有無
- 清掃状態
- 噛み合わせの変化
- 被せ物のゆるみや破損
- 周囲の歯や歯周病の状態
歯ぐきの腫れ、出血、口臭、歯のぐらつきが気になる方は、
歯周病治療のページ
もご確認ください。
インプラント治療を長く安定させるためにも、歯周病管理はとても重要です。
当院より|感染除去と歯ぐきの補強を組み合わせた前歯のインプラント治療
今回の症例では、前歯の根が破折し、根の先に膿がたまっていたため、まず感染源を取り除くことが重要でした。
さらに、骨と歯ぐきの一部が失われていたため、感染除去・インプラント埋入・歯ぐきの移植・セラミック補綴を段階的に行いました。
前歯のインプラント治療では、見た目だけでなく、清掃性・噛み合わせ・長期安定性まで考えた治療計画が大切です。
「前歯が折れた」「歯ぐきに膿がたまっている」「抜歯後の治療方法を知りたい」という方は、お気軽にご相談ください。
前歯や奥歯を失った後の治療、入れ歯が合わない・噛みにくいことでお悩みの方は、 インプラント治療のページ もあわせてご覧ください。
はやかわ歯科 小児矯正歯科について
はやかわ歯科 小児矯正歯科は、京都府亀岡市古世町にある歯科医院です。 小児矯正・ マウスピース矯正・ インプラント・ 親知らずの抜歯・ 歯周病治療・ 予防メンテナンスまで、幅広いお口のお悩みに対応しています。
お子さまの歯並びや口呼吸、成人の矯正相談、入れ歯が合わない方のインプラント相談など、将来を見据えた治療計画をご提案します。
亀岡市・南丹市で前歯のインプラント治療をご相談されたい方へ
はやかわ歯科 小児矯正歯科では、CT検査や口腔内診査をもとに、骨・歯ぐき・噛み合わせ・見た目のバランスを考えたインプラント治療をご提案しています。
「前歯が折れた」「歯ぐきに膿がたまっている」「抜歯後にどんな治療ができるか知りたい」など、気になることがあればお気軽にご相談ください。
〒621-0815 京都府亀岡市古世町芝原35-5|駐車場10台完備
関連ページ: インプラント治療 / 歯周病治療 / 親知らずの抜歯
ご相談・WEB予約はこちら著者情報
院長 早川 倫正

- 関西大倉高等学校 卒業
- 大阪歯科大学 歯学部 卒業
- 公立甲賀病院 歯科口腔外科 勤務
- 医療法人 スマイルデザイン 吉田歯科・矯正歯科 入職
- 医療法人 スマイルデザイン 吉田歯科・矯正歯科 副院長就任
- 医療法人 スマイルデザイン 吉田歯科・矯正歯科 院長就任
- はやかわ歯科小児矯正歯科 開院


