目次
開咬(かいこう)とは?|前歯が閉じない原因と小児矯正の相談目安を解説(亀岡市)
こんにちは、はやかわ歯科 小児矯正歯科(亀岡市)です。
「前歯が噛み合わず、すき間が空いている気がする」「奥歯は当たるのに前歯で噛み切りにくい」「口がぽかんとして唇が開きがち」――こうしたサインがあるときに疑われる不正咬合のひとつが開咬です。
開咬は見た目だけでなく、舌・唇・呼吸など“お口の使い方”が関係していることもあり、歯だけ整えても安定しにくいケースがあります。
このページでは、開咬の基本・原因・家庭での見守りポイント・小児矯正を相談する目安を分かりやすくまとめます。
お子さまの歯並び、口呼吸、舌の位置、噛み合わせが気になる方は、 小児矯正のページもあわせてご覧ください。

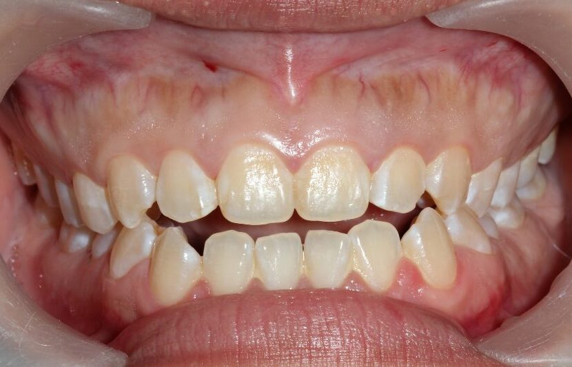
開咬とは?|奥歯は当たるのに前歯が当たらない状態
開咬とは、噛んだときに奥歯は当たっているのに前歯が当たらず、上下の前歯の間にすき間が残る噛み合わせです。
見た目の問題だけでなく、食事・発音・口呼吸・奥歯への負担など、日常生活の中で困りごとにつながることがあります。
開咬で起こりやすい困りごと
- 前歯で噛み切りにくい
- 麺・お肉・野菜などが噛み切りにくい
- 口が乾きやすい、口呼吸になりやすい
- 発音が気になることがある
- 前歯が当たらない分、奥歯に負担が集まりやすい
- 唇が閉じにくく、口元に力が入りやすい
開咬は、単に「前歯が閉じていない」という見た目だけで判断するのではなく、なぜ前歯が閉じにくくなっているのかを確認することが大切です。
なぜ開咬になりやすい?|カギは舌の位置とお口のクセ
舌には本来、休んでいるときの定位置があります。
舌の位置が安定せず、低い位置にあったり、前に出やすかったりすると、前歯を内側から押す力が積み重なり、噛み合わせが開きやすくなることがあります。
特に多いのが、舌癖です。
舌が低い位置にある、飲み込むときに舌が前へ出る、前歯のすき間に舌を入れるといったクセがあると、開咬の原因や後戻りの要因になることがあります。
そのため開咬では、歯並びだけでなく、舌・唇・呼吸のクセをセットで見直すことが重要です。
小児矯正について詳しく知りたい方は、
小児矯正のページも参考にしてください。
開咬につながりやすいよくある原因
開咬は、原因がひとつだけとは限りません。
指しゃぶり、舌のクセ、口呼吸、歯の生えかわりなど、複数の要因が重なっていることもあります。
1)指しゃぶり・おしゃぶりが長く続く
指しゃぶりやおしゃぶりが長く続くと、前歯に力がかかり、上下の前歯が閉じにくくなることがあります。
無理に取り上げるより、安心できる代替方法を用意しながら、段階的に減らすほうが進めやすいこともあります。
2)舌のクセ
舌が低い位置にある、前歯のすき間に舌を入れる、飲み込むときに舌が前に出るといったクセがあると、歯が舌に押され続けることがあります。
その結果、前歯が閉じにくくなったり、矯正後に戻りやすくなったりする場合があります。
3)口呼吸・鼻づまりが続く
口が開いている時間が長いと、舌は上あごに置きにくくなります。
アレルギー性鼻炎などが背景にある場合もあるため、歯並びだけでなく呼吸の状態も確認することが大切です。
4)乳歯を早く失った、抜けたあとが長く空いた
乳歯が抜けたあと、永久歯がなかなか出てこない状態が続くと、すき間に舌を入れるクセがつくことがあります。
「抜けたのに全然出てこない」「いつまでもすき間が空いている」と感じる場合は、早めに確認しておくと安心です。
家庭でできること|まずは3つのチェックから
開咬が気になる場合でも、家庭で難しいトレーニングを完璧に行う必要はありません。
まずは、日常生活の中で次の3つを見守るだけでも、お子さまのお口の状態を把握しやすくなります。
見守りチェック
- 指しゃぶり・おしゃぶり:やめさせるより、時間帯を減らす・安心材料を用意するなど、減らし方を考える
- 口が開きやすい場面:テレビ中、車の中、ぼーっとしているときに口が開いていないか確認する
- 歯が抜けたあとや舌の位置:すき間に舌が入っていないか、永久歯がなかなか出てこない状態が続いていないか確認する
強く注意しすぎると、お子さまが緊張したり、かえって気にしすぎたりすることがあります。
まずは「気づいたらやさしく声をかける」くらいから始めると続けやすいです。
受診の目安|迷う段階こそ一度チェックが安心です
開咬は、早めに原因を整理することで、成長に合わせた選択肢を考えやすくなります。
次のようなサインがある場合は、一度ご相談ください。
相談の目安
- 前歯が噛んでも当たらず、すき間が続いている
- 指しゃぶり・おしゃぶりがなかなかやめられない
- 飲み込むときに舌が前に出る
- あごや口元に力が入っている
- 口がいつも開いている、口呼吸が気になる
- いびきや鼻づまりが気になる
- 乳歯が抜けたのに永久歯がなかなか出てこない
- 前歯で噛み切りにくい、発音が気になる
「今すぐ矯正が必要かどうか」だけでなく、今は経過観察でよいのか、早めに対応した方がよいのかを確認することが大切です。
お子さまの歯並びや口呼吸、舌の位置、噛み合わせが気になる方は、
小児矯正のページもあわせてご覧ください。
よくある質問(Q&A)
Q. 開咬は成長で自然に治りますか?
A. 成長とともに見え方が変わることはありますが、指しゃぶり・舌癖・口呼吸などの原因が続いている場合、自然に改善しにくいことがあります。
まずは、開咬の原因になりそうなクセや生活習慣があるかを確認することが大切です。
Q. 舌癖があると、矯正しても戻りやすいですか?
A. 戻りやすくなる可能性があります。
歯の位置だけを整えても、舌が前歯を押すクセや口呼吸が残っていると、治療後の安定に影響することがあります。
そのため、舌の位置・飲み込み方・口の閉じ方も一緒に確認することが大切です。
Q. 乳歯が抜けたのに永久歯が出てきません。様子見でいいですか?
A. 期間や部位によって判断が変わります。
すき間に舌が入りやすい場合や、長く生えてこない場合は、クセがつく前に一度確認しておくと安心です。
Q. 開咬はマウスピース矯正で治せますか?
A. 歯並びや噛み合わせの状態、成長段階、舌や口呼吸のクセによって異なります。
マウスピース矯正が選択肢になる場合もありますが、すべての開咬に適応できるわけではありません。
大人のマウスピース矯正・インビザラインについては、
マウスピース矯正・インビザラインのページもご覧ください。
まとめ|開咬は歯並びだけでなく、お口の使い方も大切です
開咬は、前歯が閉じない噛み合わせのことで、前歯で噛み切りにくい、発音が気になる、口が開きやすいなどの困りごとにつながることがあります。
また、歯の位置だけでなく、舌の位置・飲み込み方・口呼吸・指しゃぶりなどのクセが関係していることもあります。
そのため、開咬が気になる場合は、歯並びだけを見るのではなく、成長段階やお口の使い方も含めて確認することが大切です。
亀岡市・南丹市周辺で小児矯正をご検討の方は、
小児矯正のページもあわせてご覧ください。
はやかわ歯科 小児矯正歯科について
はやかわ歯科 小児矯正歯科は、京都府亀岡市古世町にある歯科医院です。 小児矯正・ マウスピース矯正・ インプラント・ 親知らずの抜歯・ 歯周病治療・ 予防メンテナンスまで、幅広いお口のお悩みに対応しています。
お子さまの歯並びや口呼吸、成人の矯正相談、入れ歯が合わない方のインプラント相談など、将来を見据えた治療計画をご提案します。
亀岡市・南丹市で「前歯が閉じない」「開咬が心配」な方へ
はやかわ歯科 小児矯正歯科では、開咬を歯並びだけで判断せず、成長段階や舌・唇・呼吸の状態も含めて確認します。
「これって開咬?」「今のうちにできることはある?」「小児矯正を始めるべき?」という段階でも、お気軽にご相談ください。
お子さまの状態に合わせて、無理のない治療方針を一緒に考えていきます。
〒621-0815 京都府亀岡市古世町芝原35-5|駐車場10台完備
関連ページ: 小児矯正 / マウスピース矯正・インビザライン
ご相談・WEB予約はこちら著者情報
院長 早川 倫正

- 関西大倉高等学校 卒業
- 大阪歯科大学 歯学部 卒業
- 公立甲賀病院 歯科口腔外科 勤務
- 医療法人 スマイルデザイン 吉田歯科・矯正歯科 入職
- 医療法人 スマイルデザイン 吉田歯科・矯正歯科 副院長就任
- 医療法人 スマイルデザイン 吉田歯科・矯正歯科 院長就任
- はやかわ歯科小児矯正歯科 開院



