目次
歯石取りに回数がかかる理由とは?|歯ぐきを守る大切なステップ
こんにちは、はやかわ歯科 小児矯正歯科です。
「歯石取りって1回で終わらないの?」「なぜ何回も通わないといけないの?」
そんなご質問を患者さまからよくいただきます。
実は、歯石取りには2つの段階があり、口の中の状態によって回数が異なるのです。

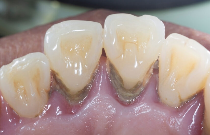
▲ 歯の表面に付着した歯石
歯石取りには2種類あります
① スケーリング(SC)
歯の表面についた歯石やプラーク(汚れ)を取り除く処置です。
歯ぐきの外側の汚れを中心に除去するため、比較的短時間で行えます。
お口の状態にもよりますが、1〜2回の通院で完了することがほとんどです。
② スケーリング・ルートプレーニング(SRP)
歯ぐきの中、見えない部分にこびりついた歯石を除去する処置です。
歯の根の表面を丁寧にクリーニングして、汚れが再びつきにくいように滑らかに整えます。
この処置は痛みを伴う場合があるため、麻酔を使用して行うこともあります。

▲ 歯周病の状態をお伝え
SRPに回数がかかる理由
- 麻酔をして行うため、一度に全体を処置できない
- 処置後に「しみる」などの症状が出ることがあり、体への負担を考慮して分割して行う
- 歯ぐきの中の見えない部分を感触で探りながら慎重に施術する必要がある
そのため、SRPは上下左右を6つのブロックに分けて、4〜6回程度に分けて行うのが一般的です。
処置後に起こる変化
SRPを行うと炎症が治まり、腫れていた歯ぐきが引き締まります。
その際、一時的に冷たいものがしみるなどの症状が出ることがありますが、
多くの場合は数日〜1週間ほどで落ち着きます。
歯石を取ることの大切さ
歯ぐきの中の歯石は、放っておくと歯周病の大きな原因になります。
定期的にスケーリングとSRPを行うことで、歯ぐきの健康を保ち、歯を長く残すことができます。
当院より|歯ぐきを守るメンテナンスを
はやかわ歯科 小児矯正歯科では、
「できるだけ痛みを少なく・通いやすく」歯石取りを行っています。
お口の状態に合わせて丁寧に進めますので、どうぞご安心ください。
歯石取りは、ただの“お掃除”ではなく、歯を守るための大切な治療です。
気になる方は、ぜひお気軽にご相談ください。
著者情報
院長 早川 倫正

- 関西大倉高等学校 卒業
- 大阪歯科大学 歯学部 卒業
- 公立甲賀病院 歯科口腔外科 勤務
- 医療法人 スマイルデザイン 吉田歯科・矯正歯科 入職
- 医療法人 スマイルデザイン 吉田歯科・矯正歯科 副院長就任
- 医療法人 スマイルデザイン 吉田歯科・矯正歯科 院長就任
- はやかわ歯科小児矯正歯科 開院



